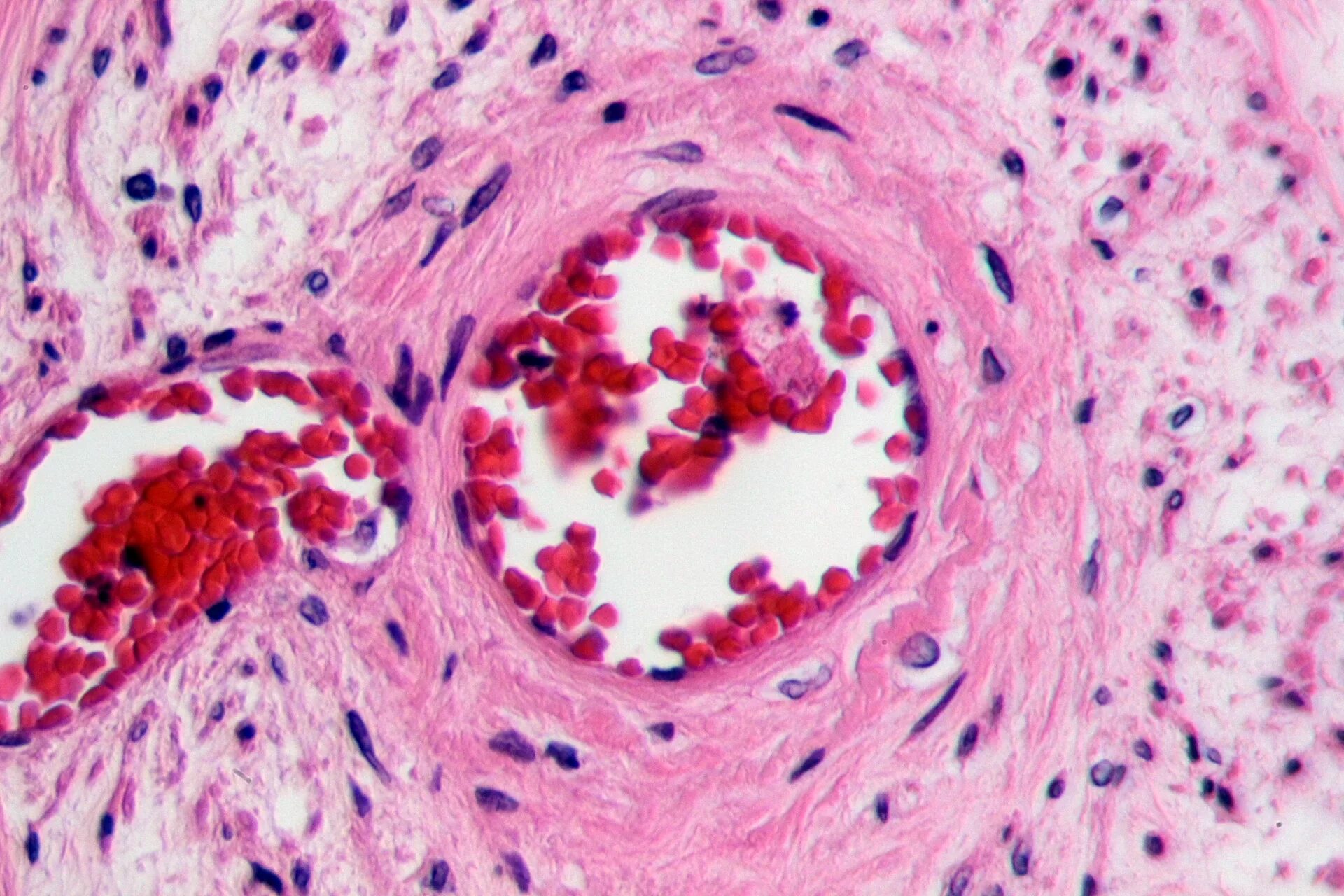
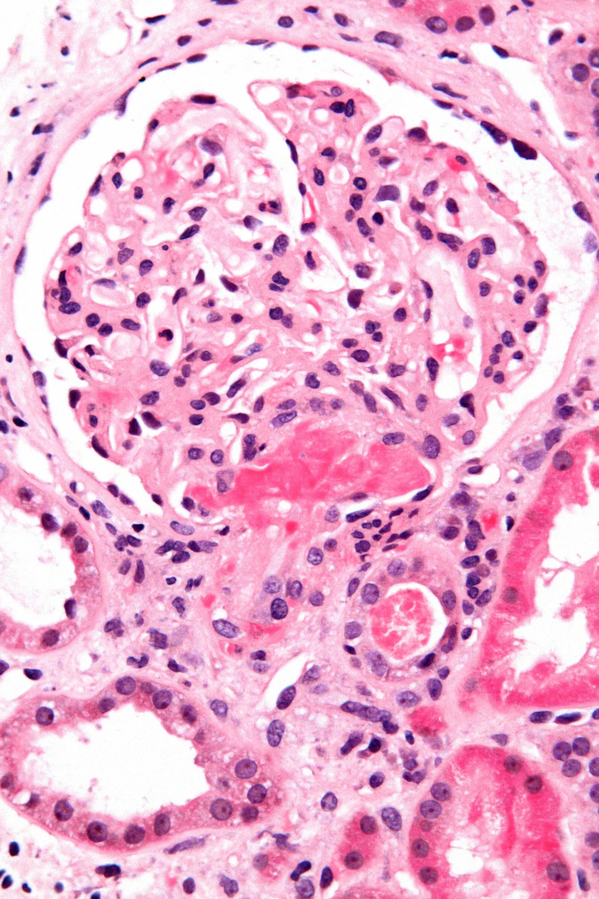
Тромботическую тромбоцитопеническую пурпуру