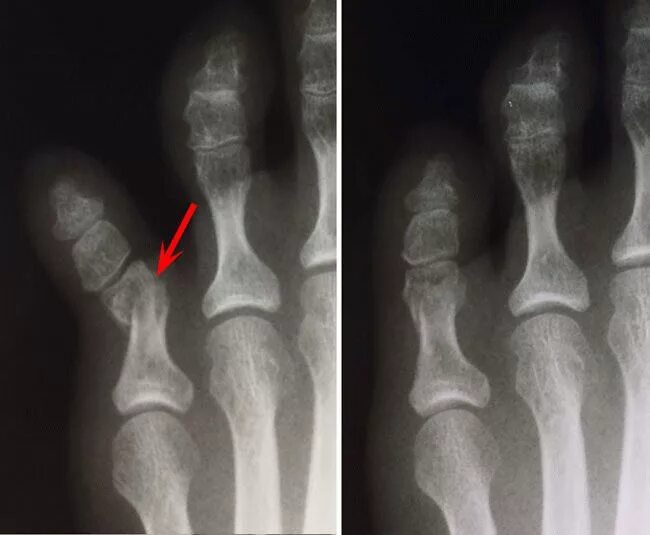
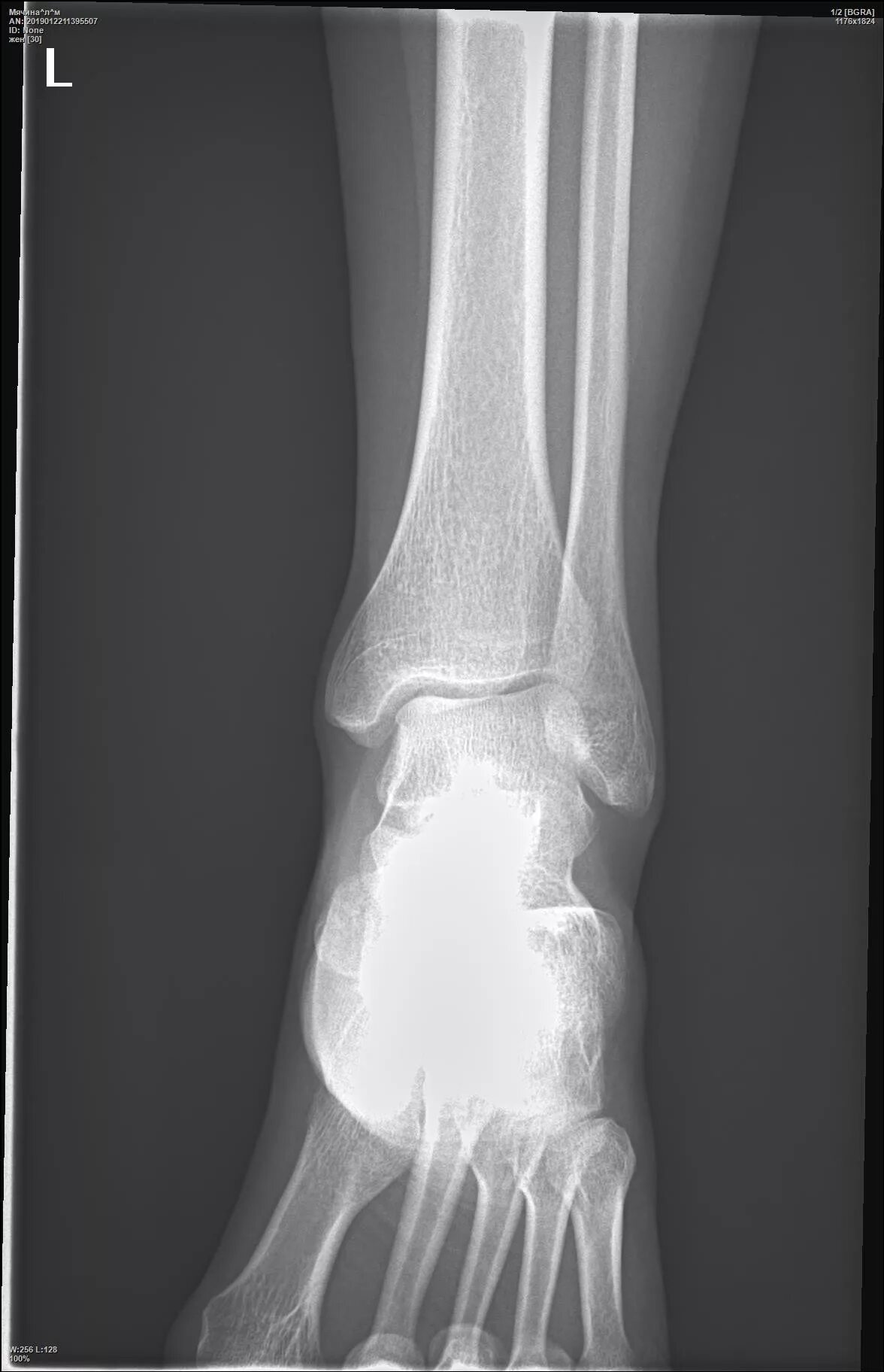
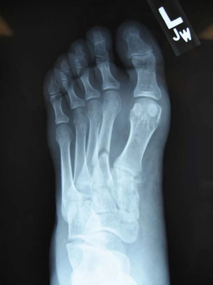
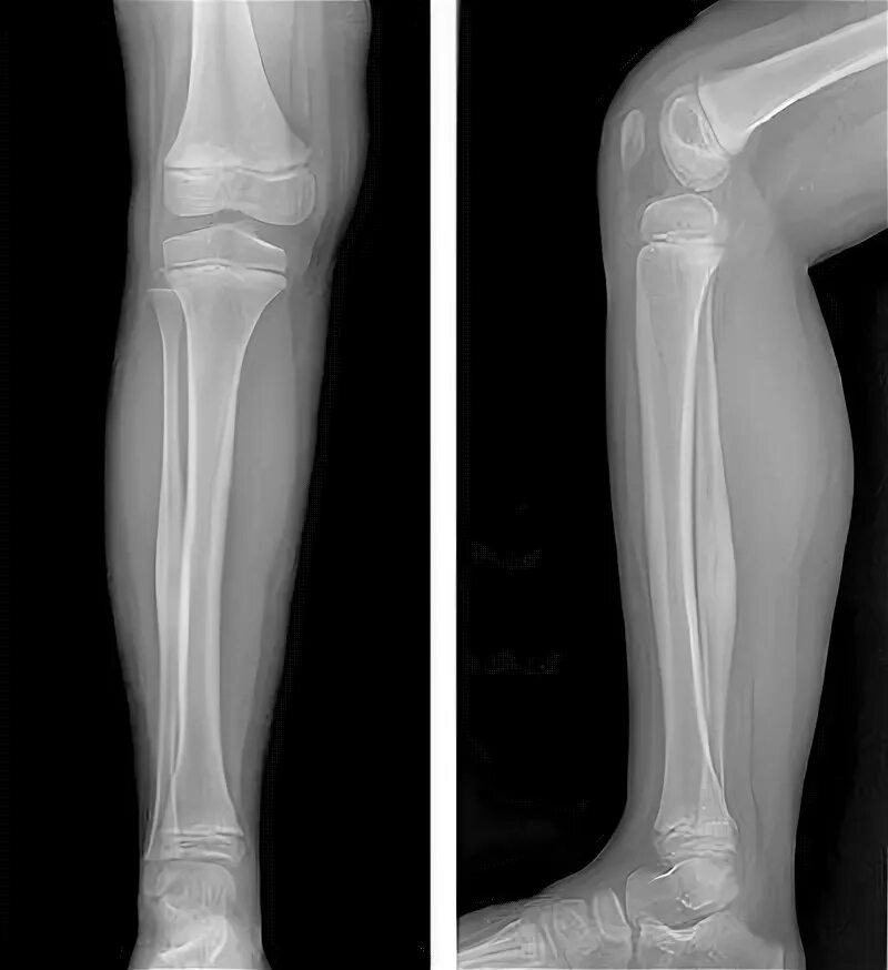
Трещина в кости ноги сколько