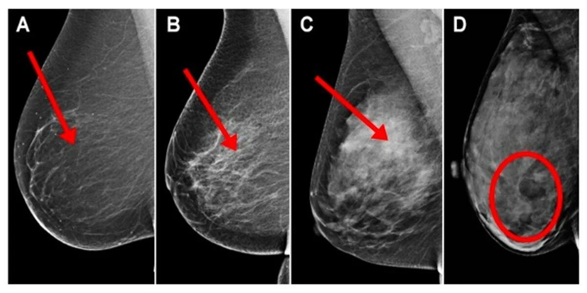
Тип строения молочных желез по acr