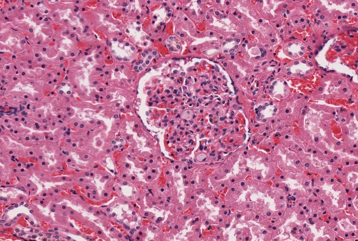
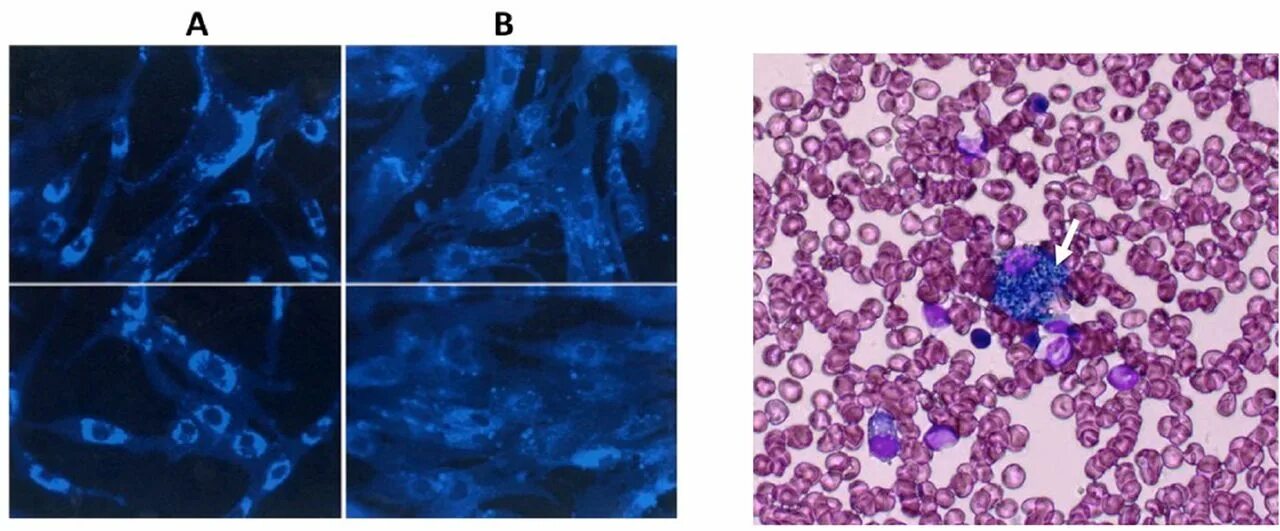
Тип пик