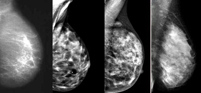
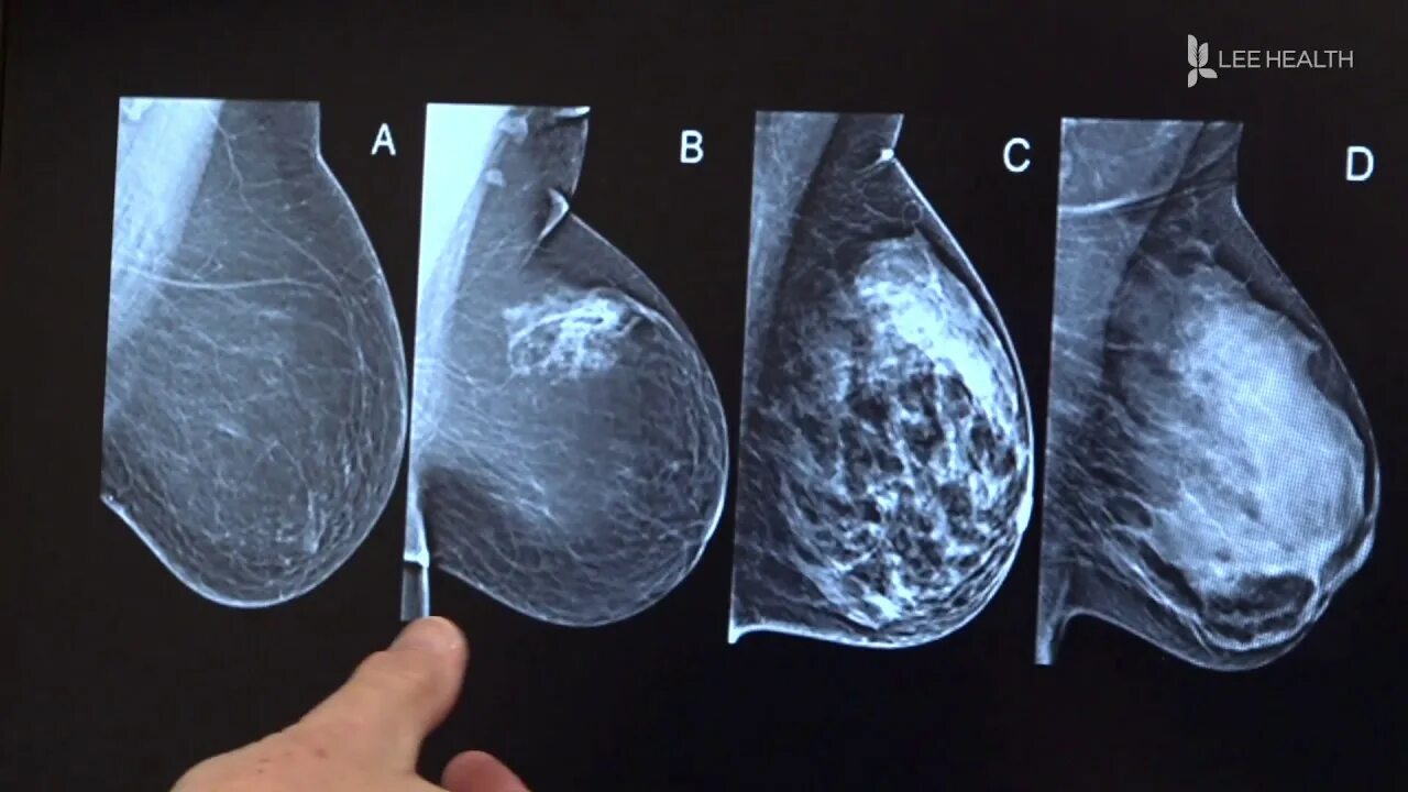
Тип молочных желез acr 2