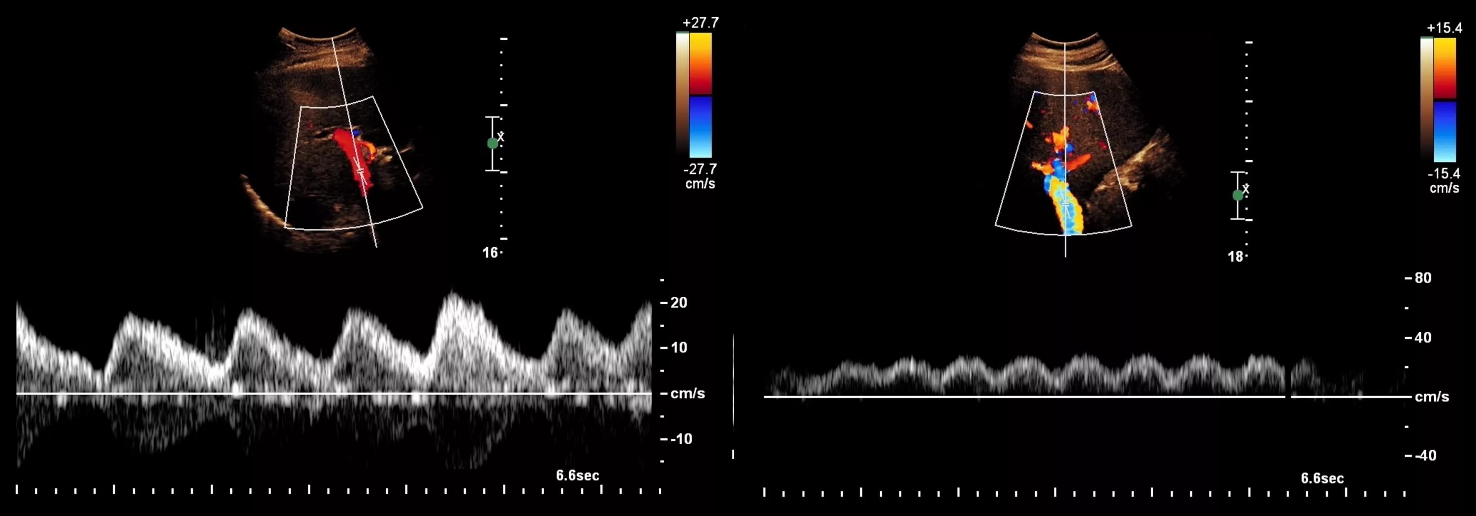
Тип кровотока 1 типа