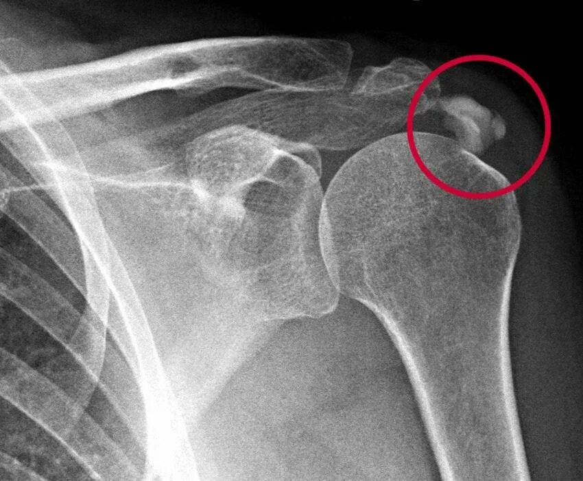
Тендинит сухожилия плечевого сустава