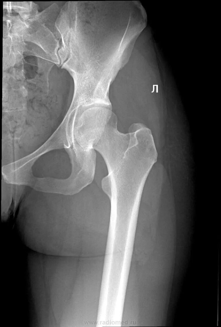
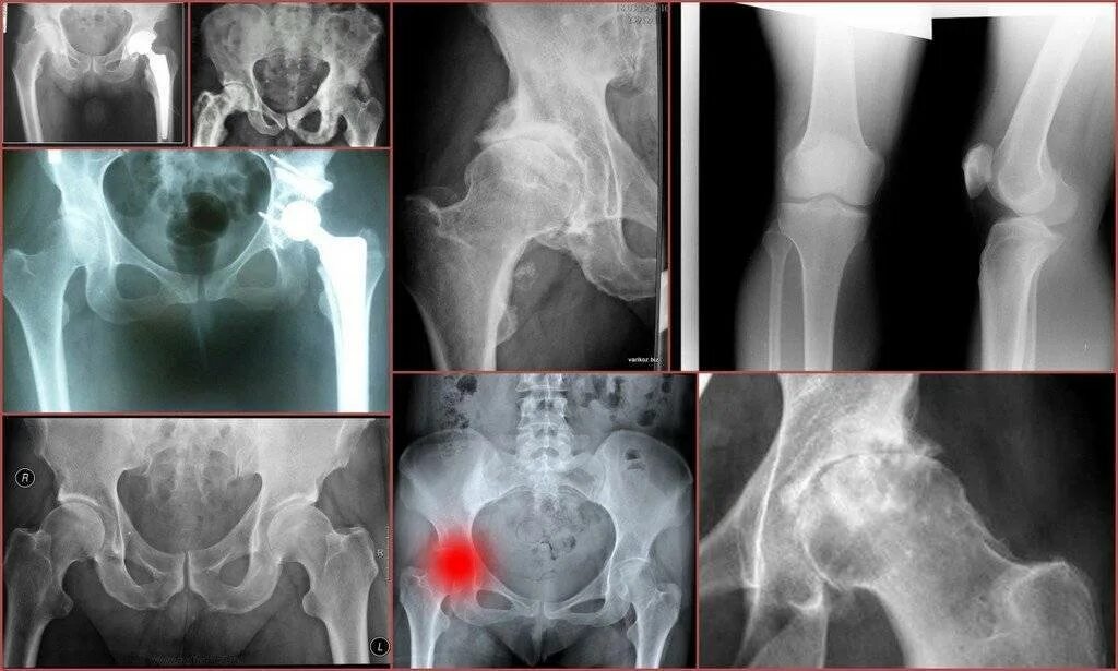
Тазобедренный сустав 3 степени лечение