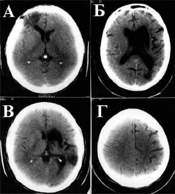
Субарахноидальное пространство лобных долей