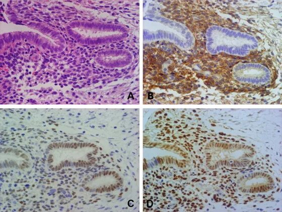
Строма плотная