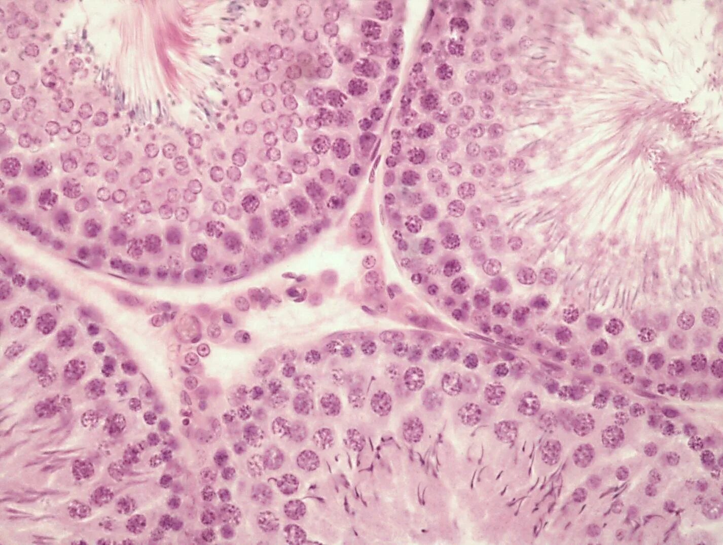
Строение яичка гистология