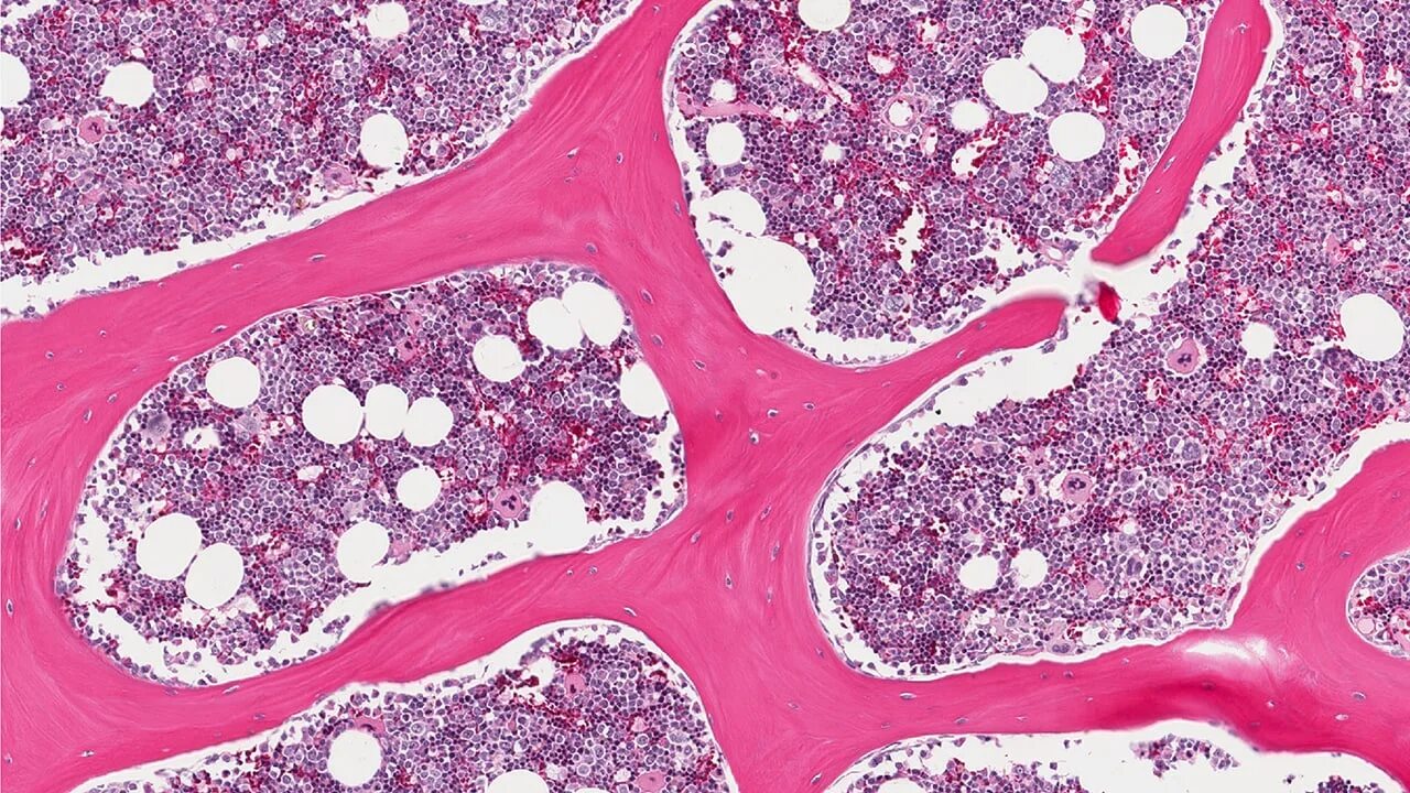
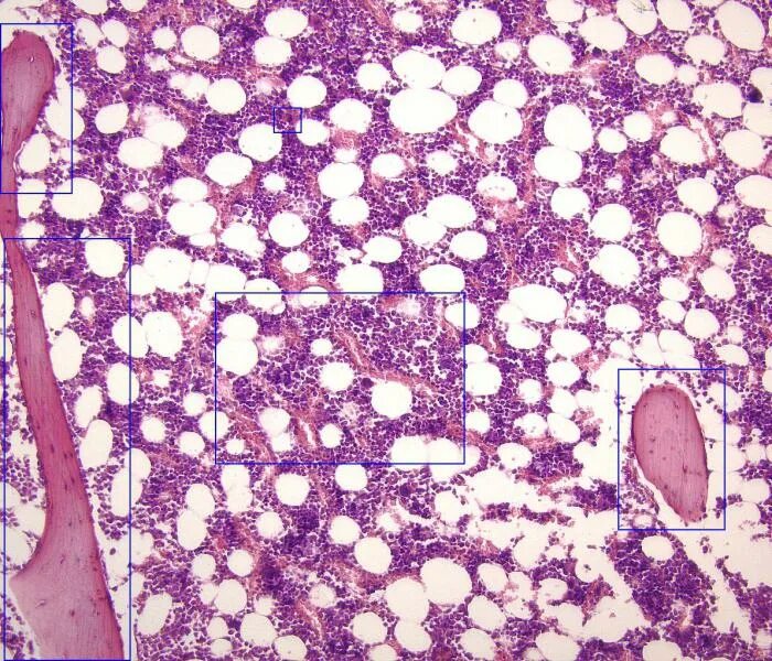
Строение костного мозга гистология