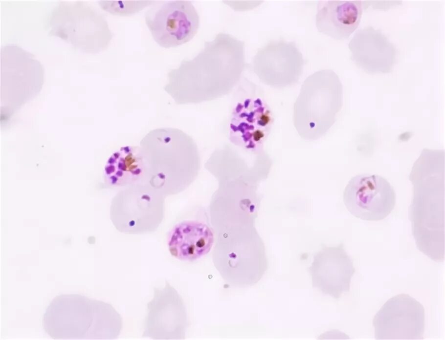
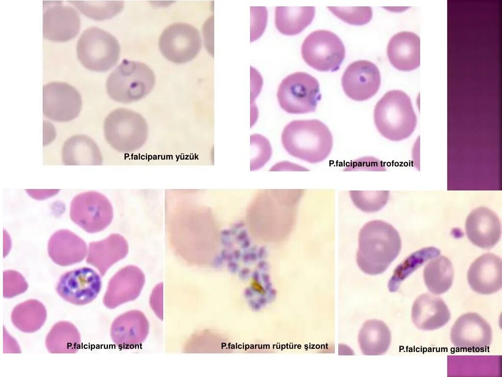
Стадии развития p falciparum обнаруживаемые при микроскопии