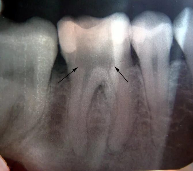
Сообщающаяся с полостью зуба