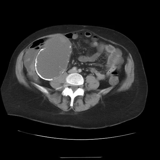
Солидные образования малый таз