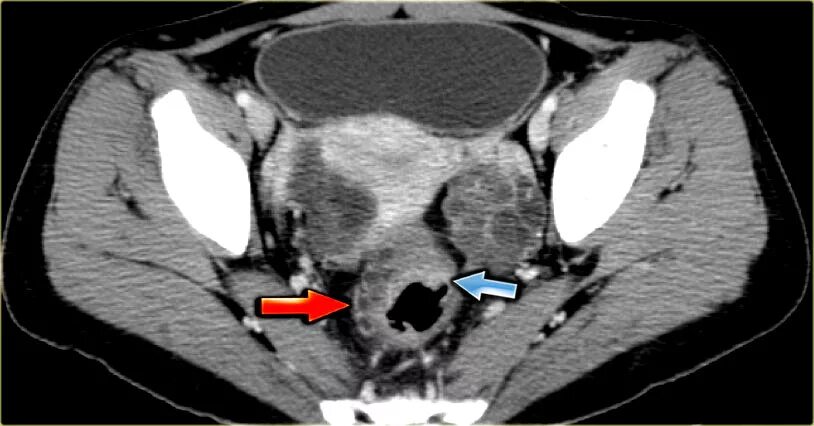
Солидное образование в малом тазу