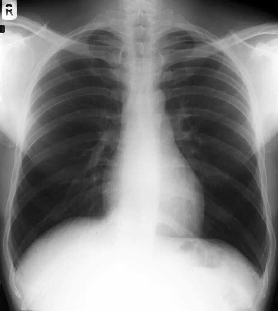
Снимок в прямой проекции