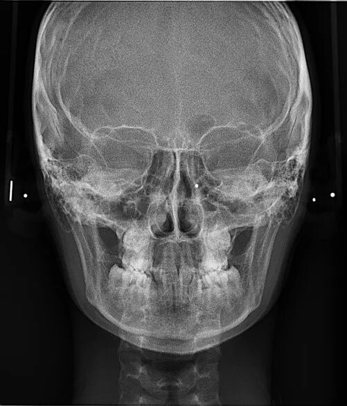
Снимок черепа в прямой проекции