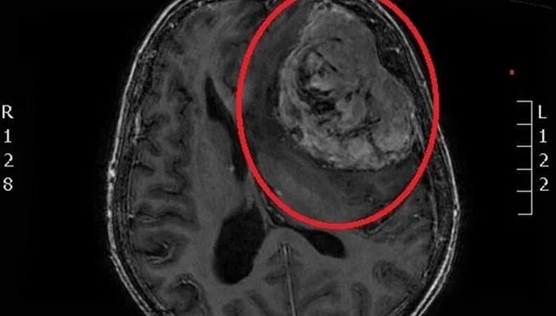
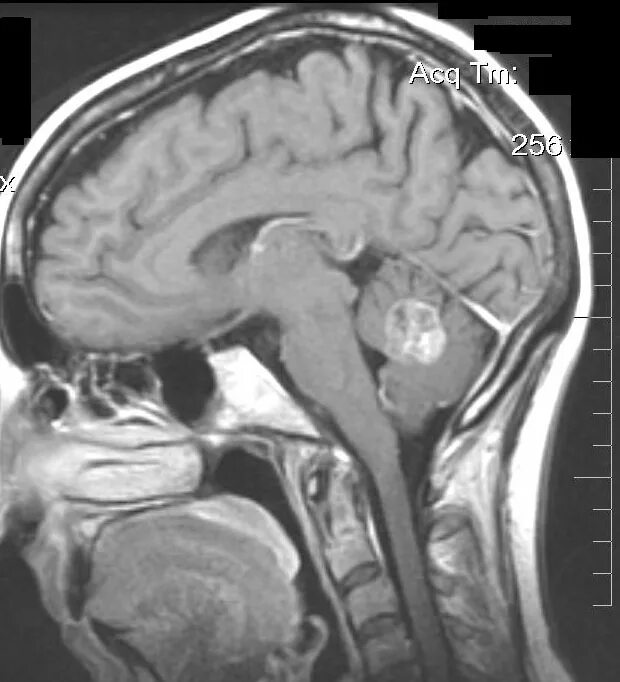
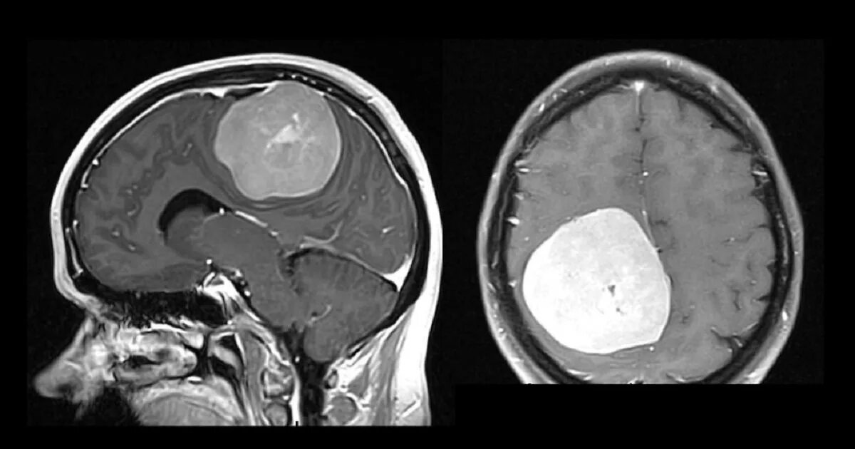
Сколько живут с доброкачественной опухолью головного мозга