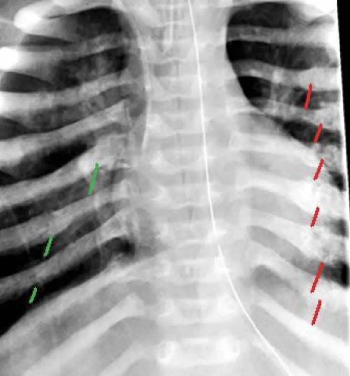
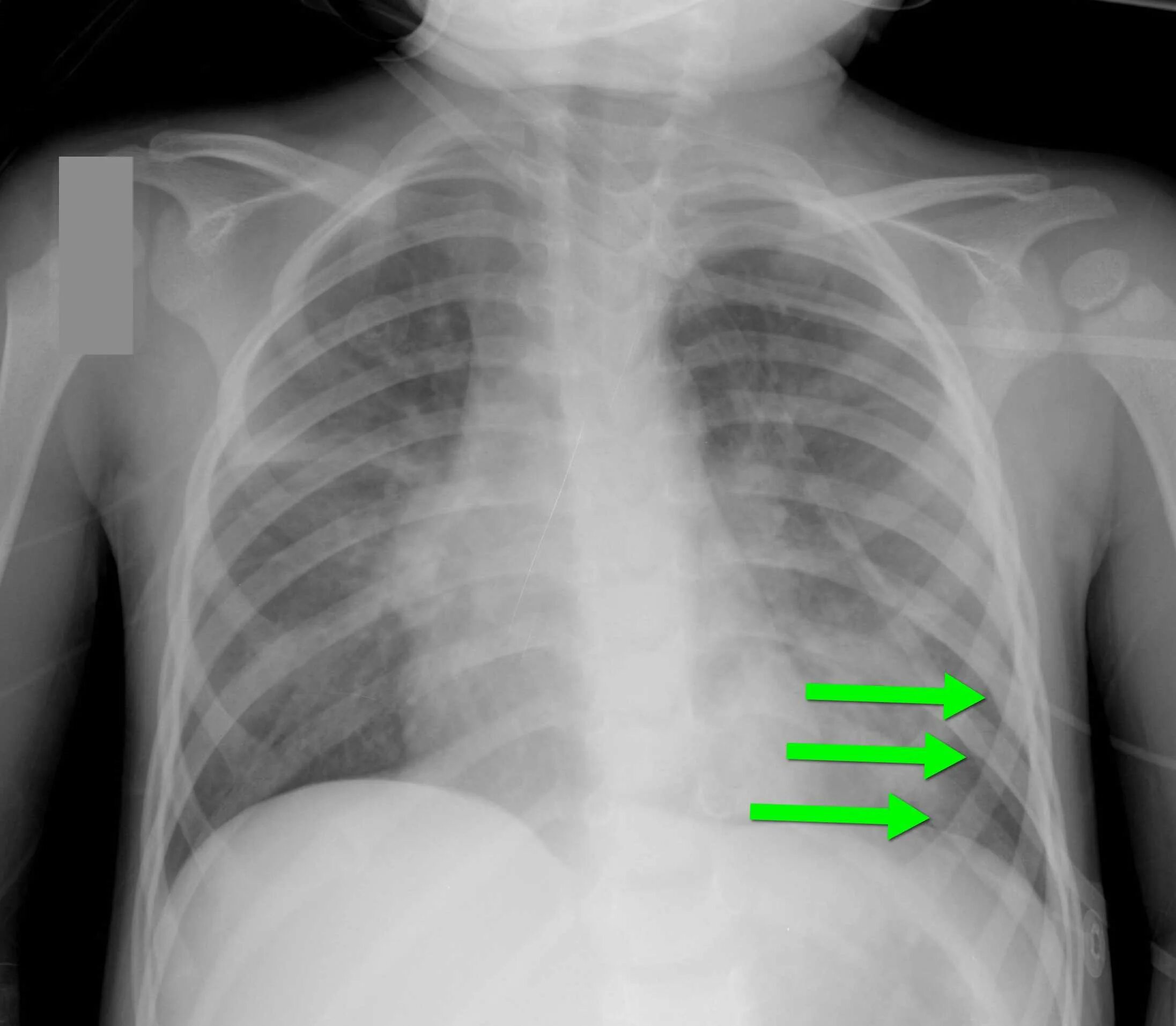
Сколько срастается ребро при переломе