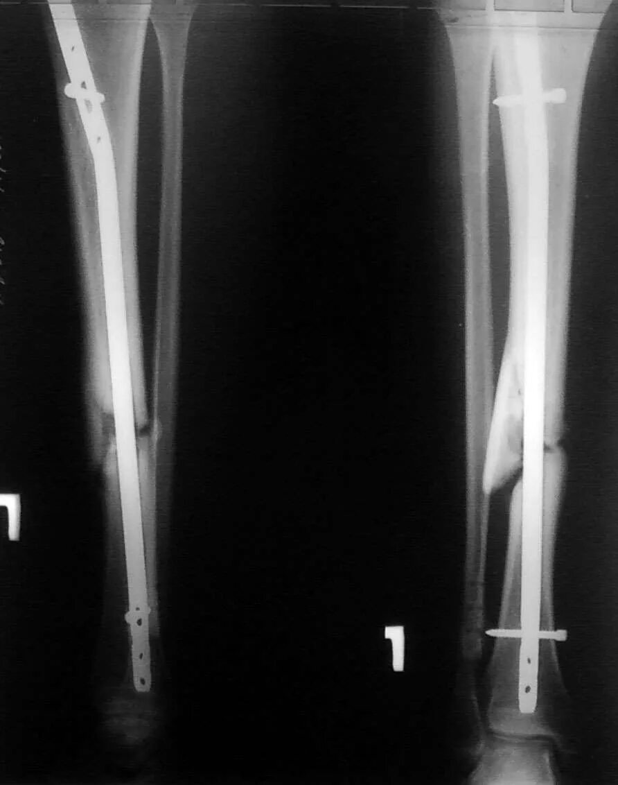
Сколько срастается перелом берцовой