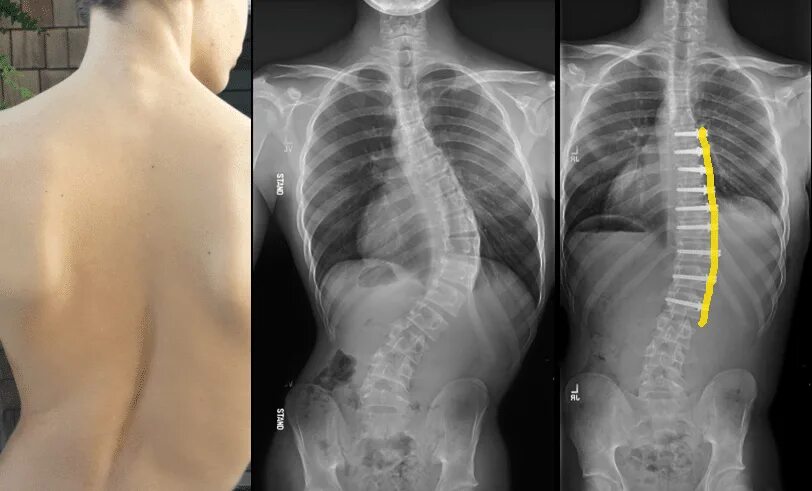
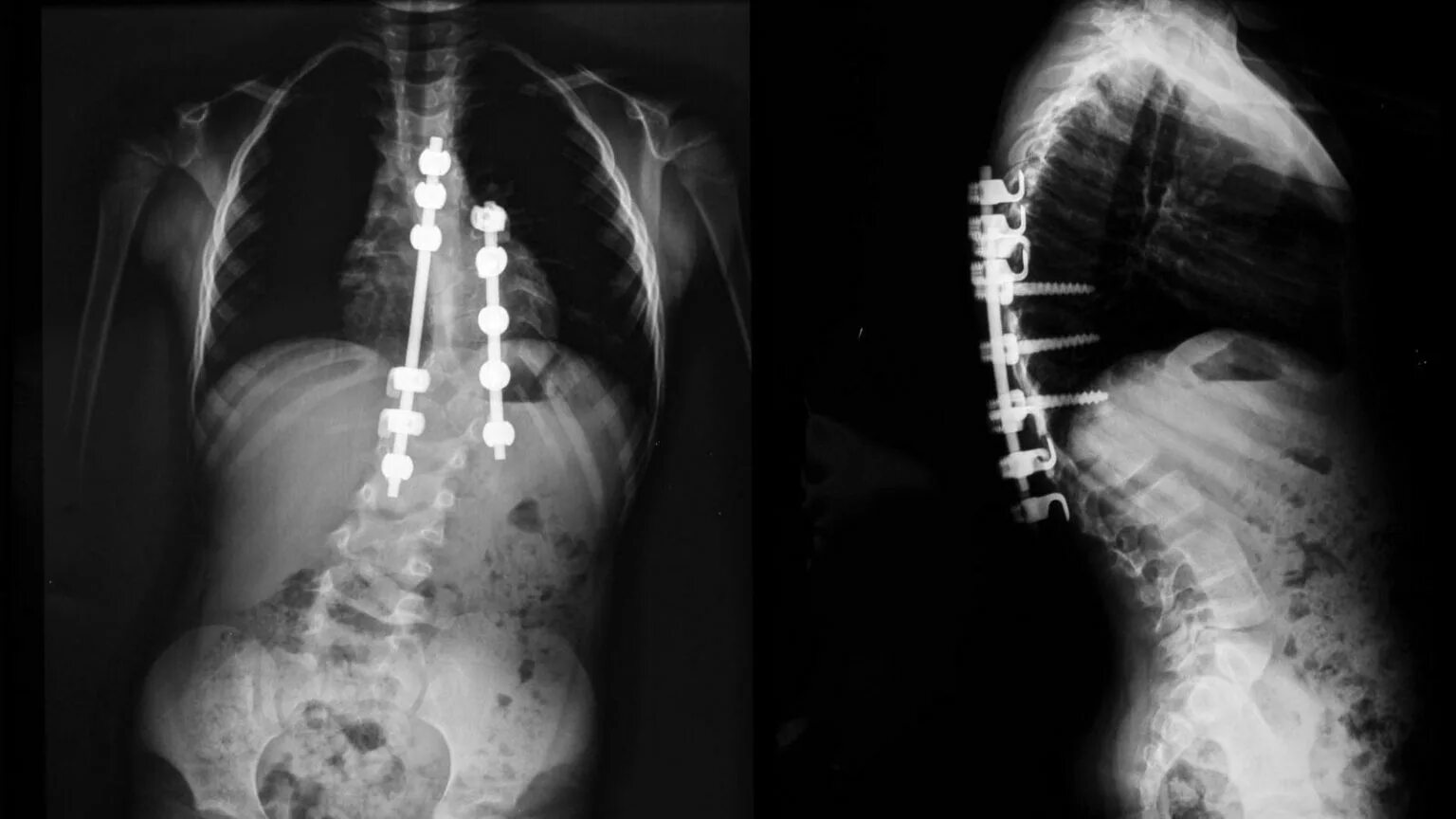
Сколиоз хирургия