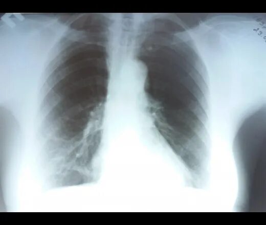
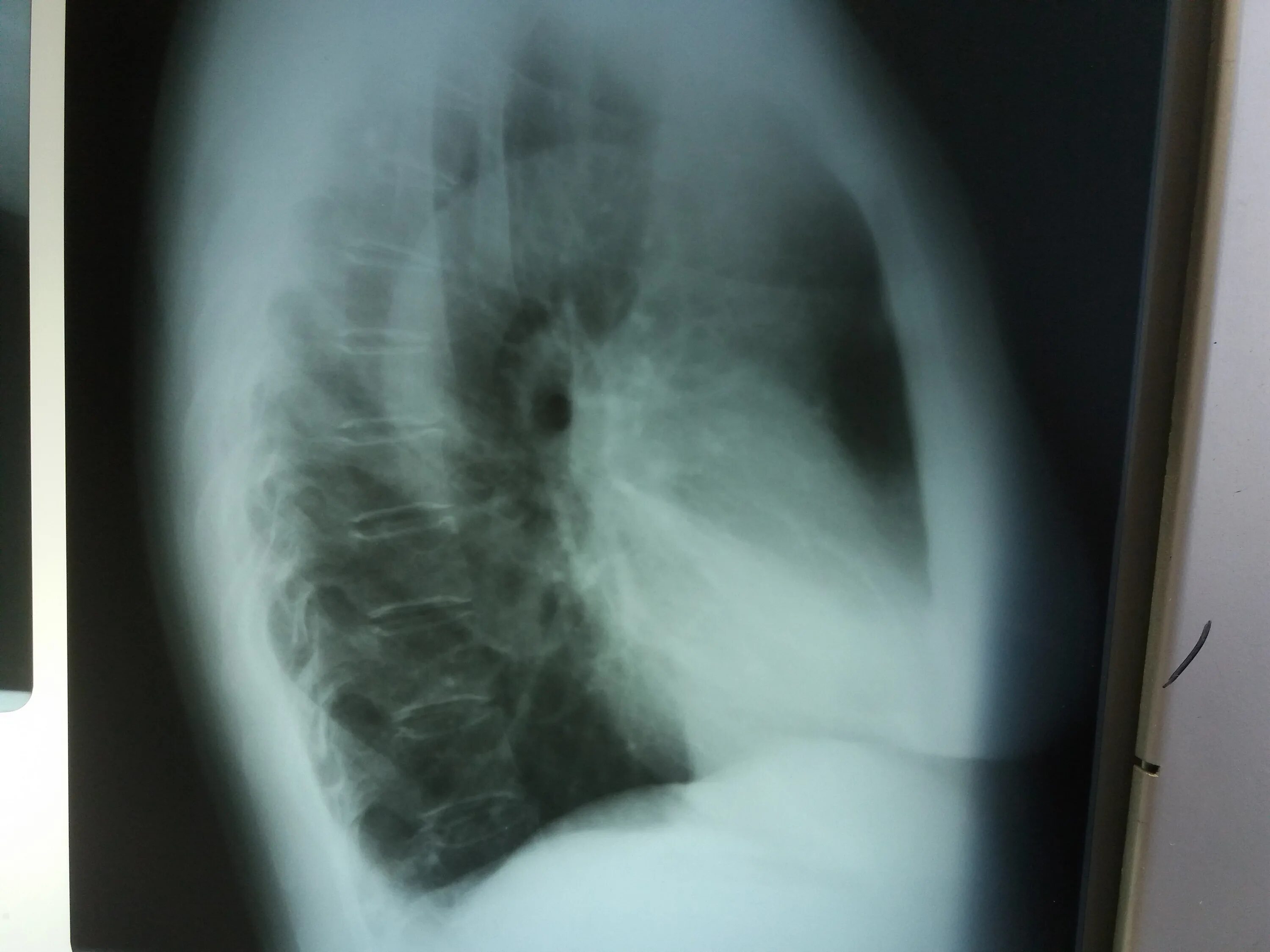
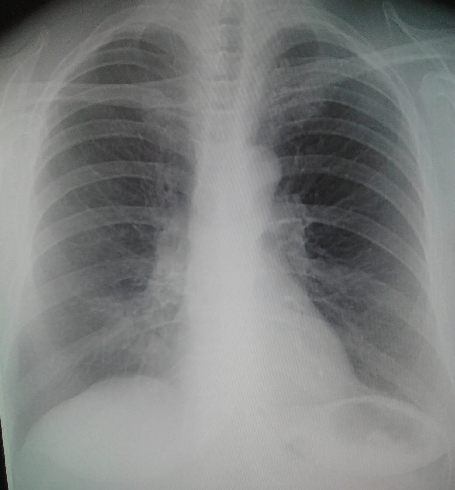
Синдром средних лет