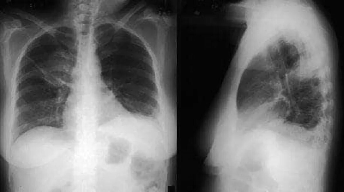
Синдром инфильтрата