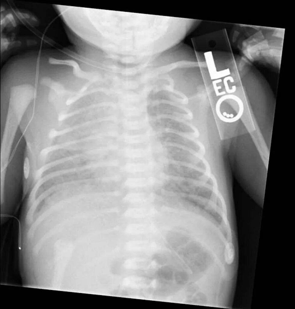
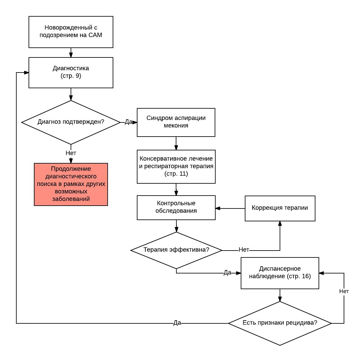
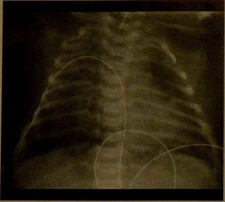
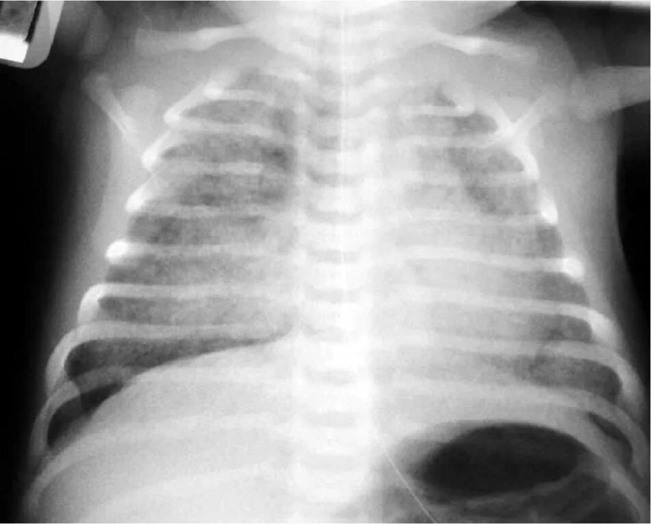
Синдром аспирации