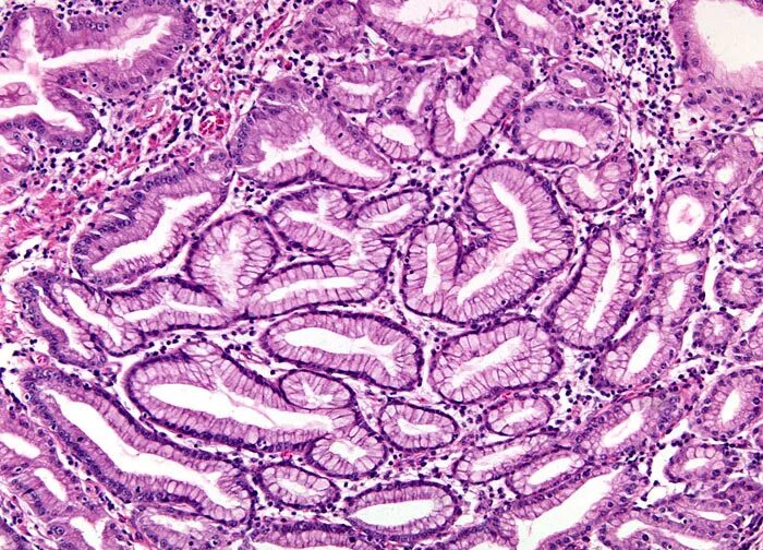
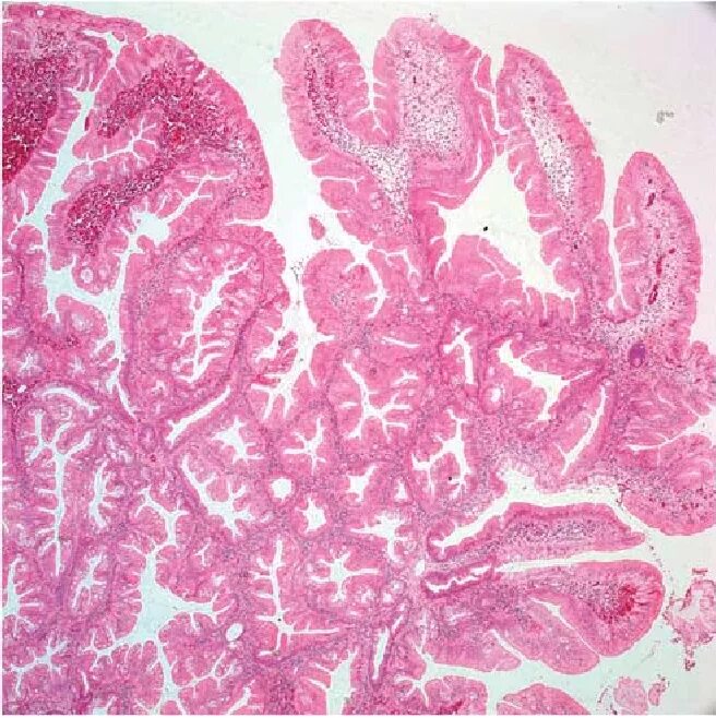
Сидячее зубчатое образование толстой кишки