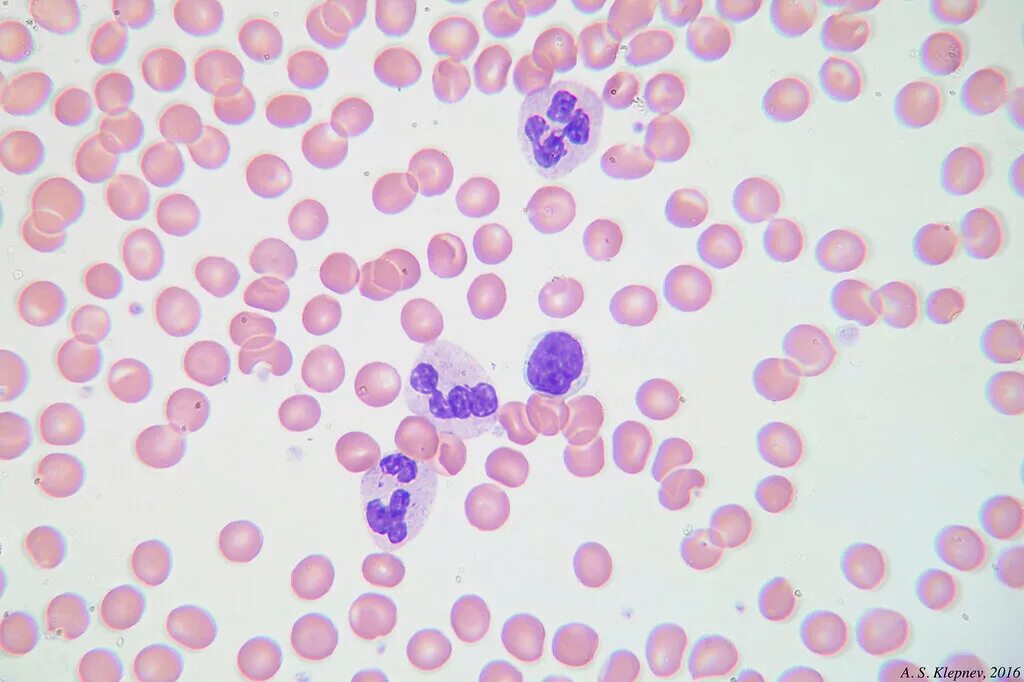
Сегментоядерные нейтрофилы 10