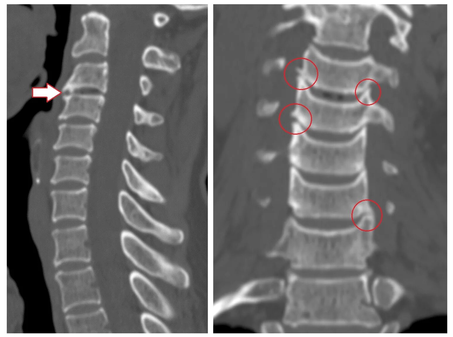
Сегмент с2 с3