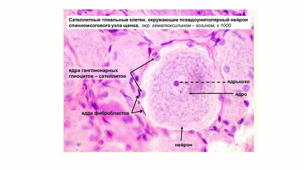
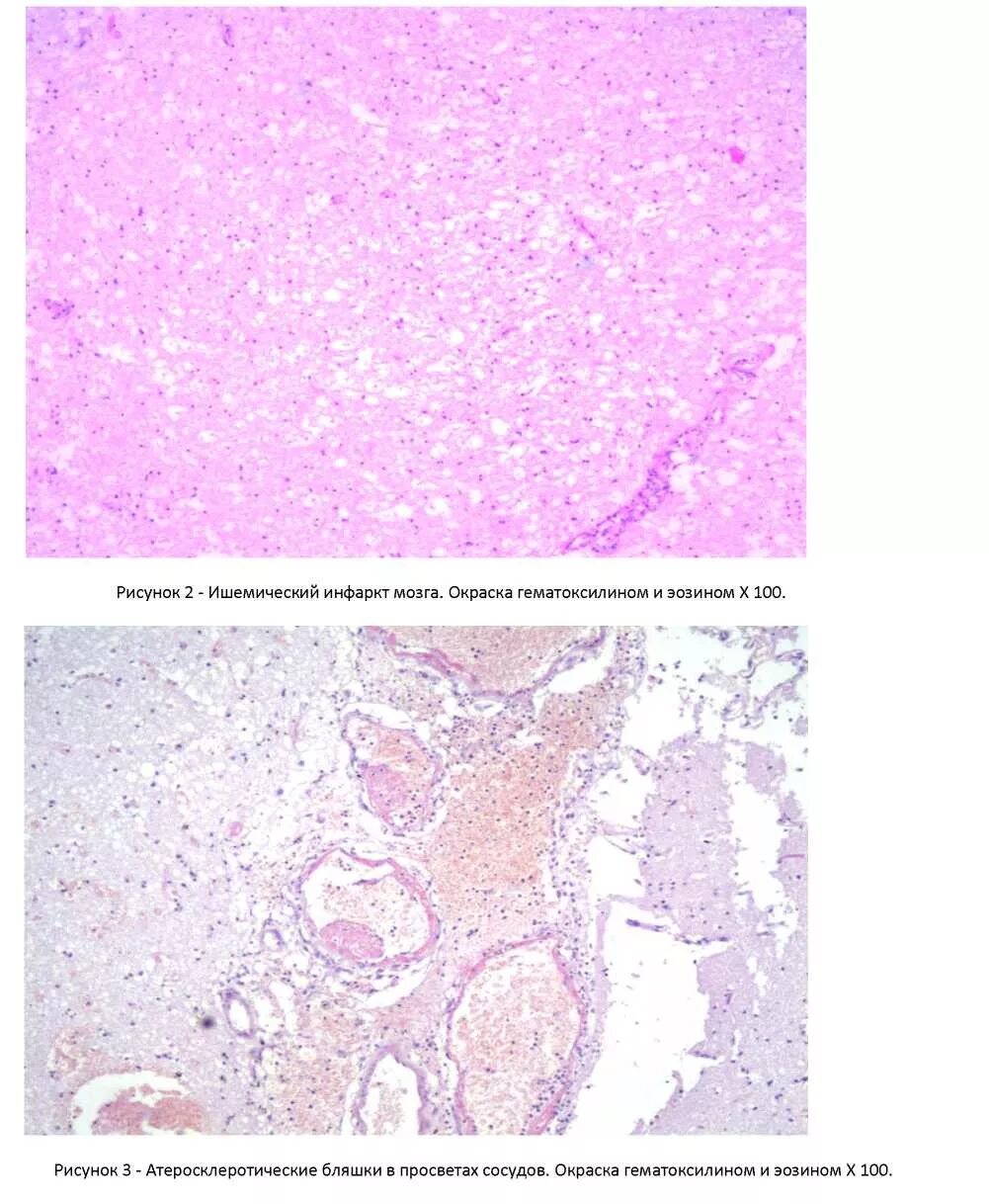
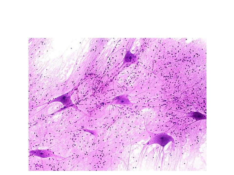
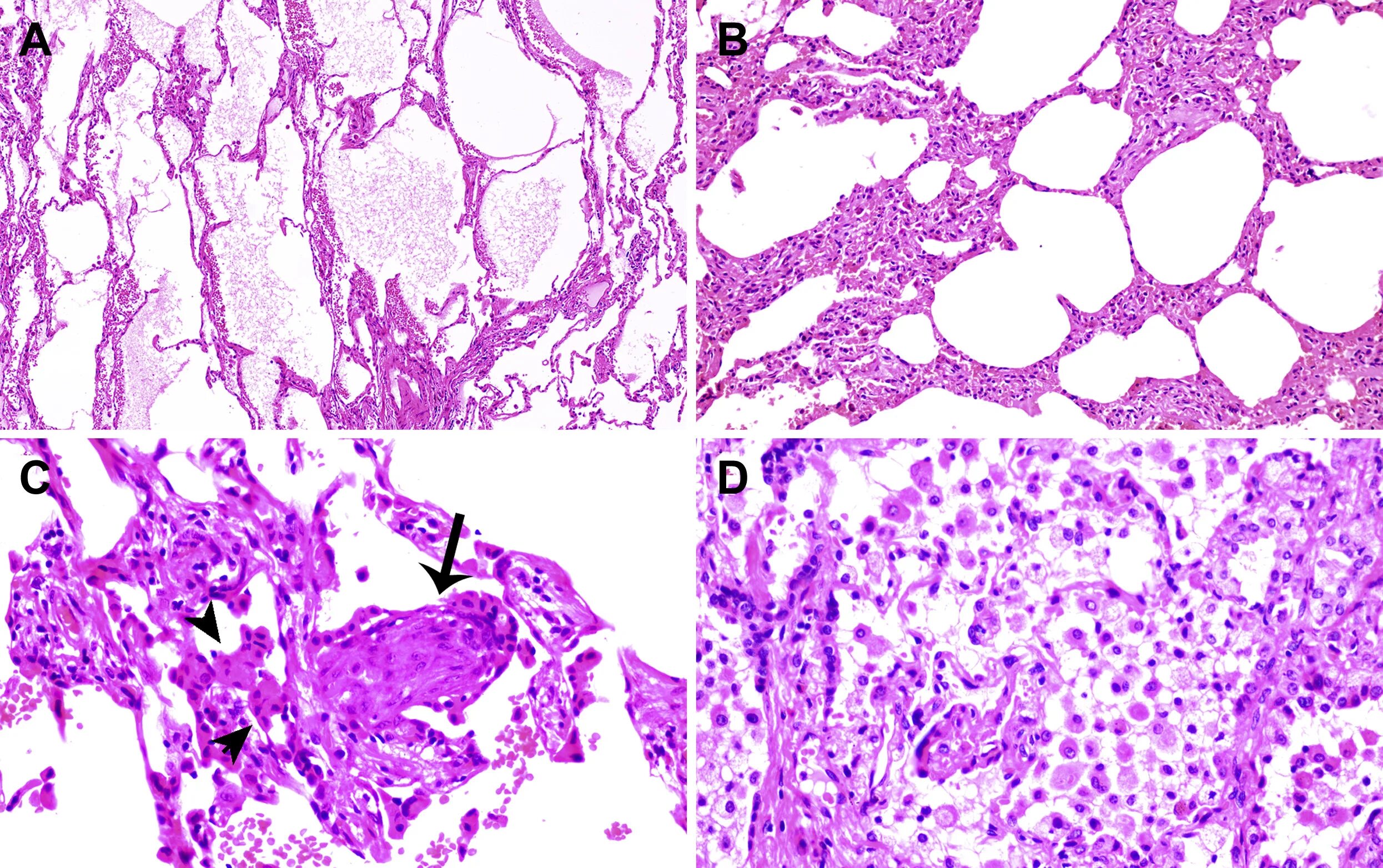
Сателлиты гистология