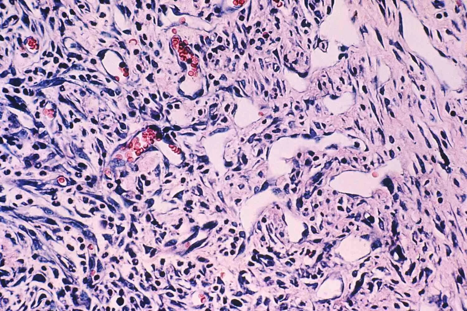
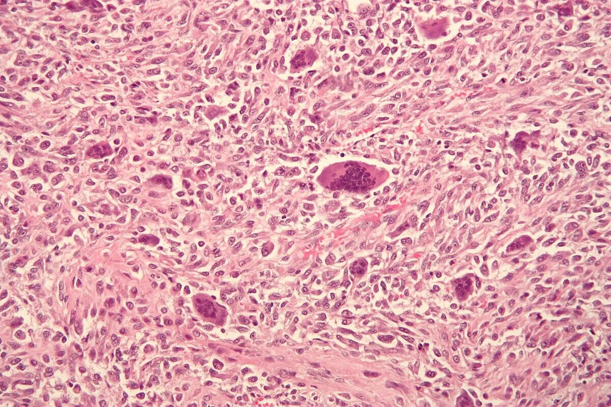
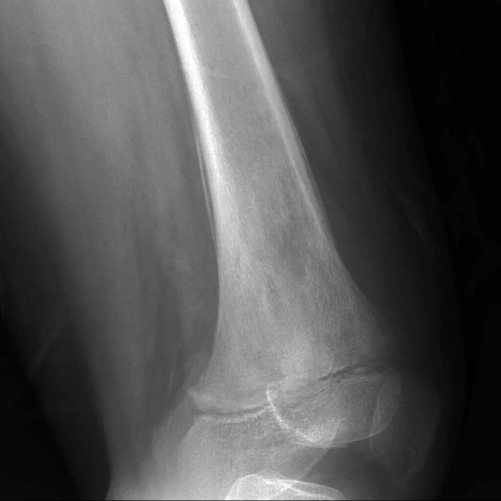
Sarcoma horror