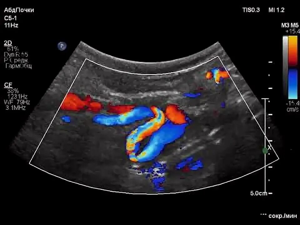
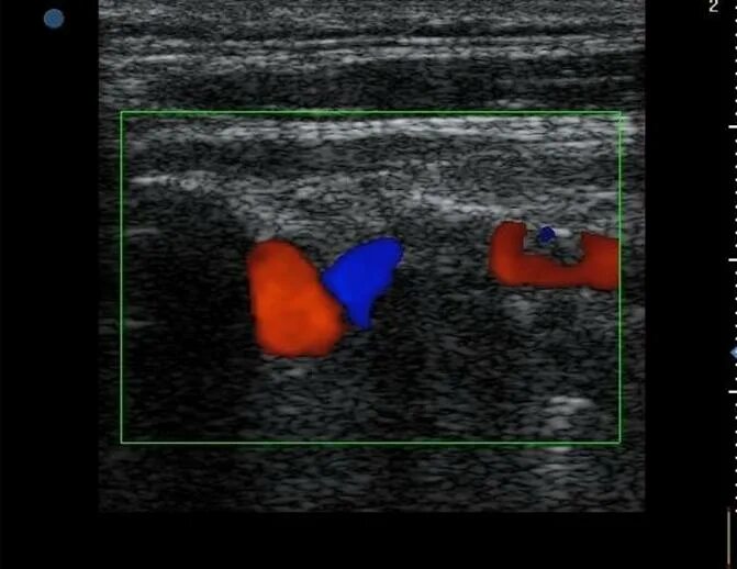
S образный изгиб артерии