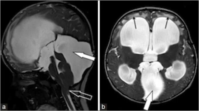
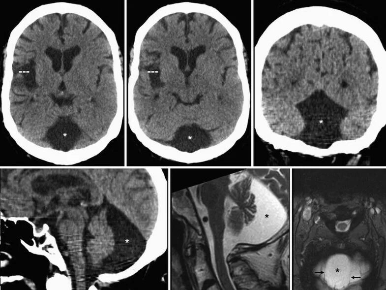
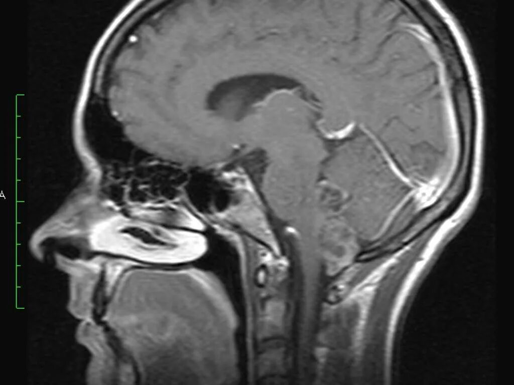
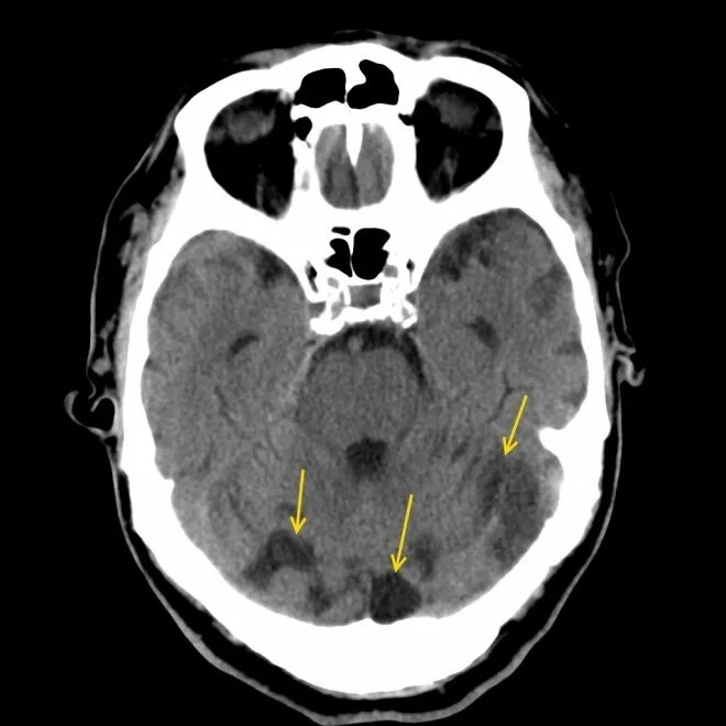
Ретроцеребеллярная ликворная киста