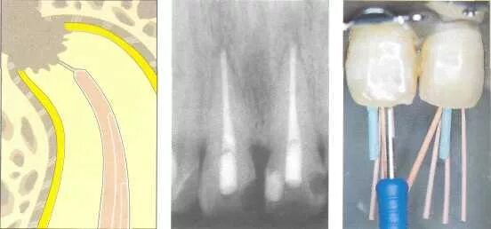
Ретроградное пломбирование корневых