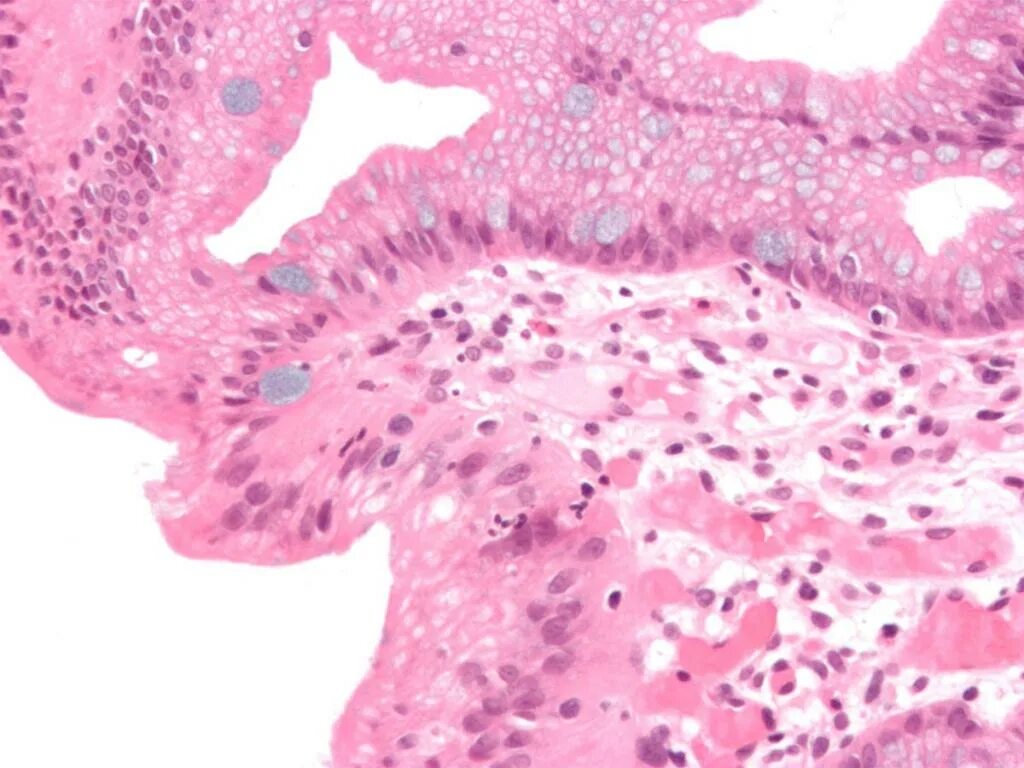
Реактивные изменения клеток метаплазированного эпителия