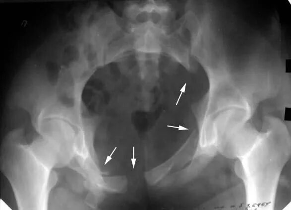
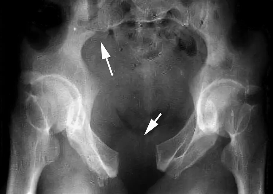
Разрыв крестцово подвздошного сочленения