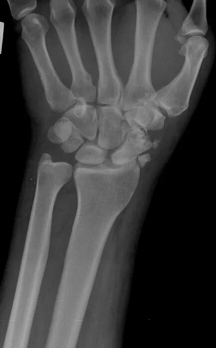
Разработка лучезапястного сустава после перелома