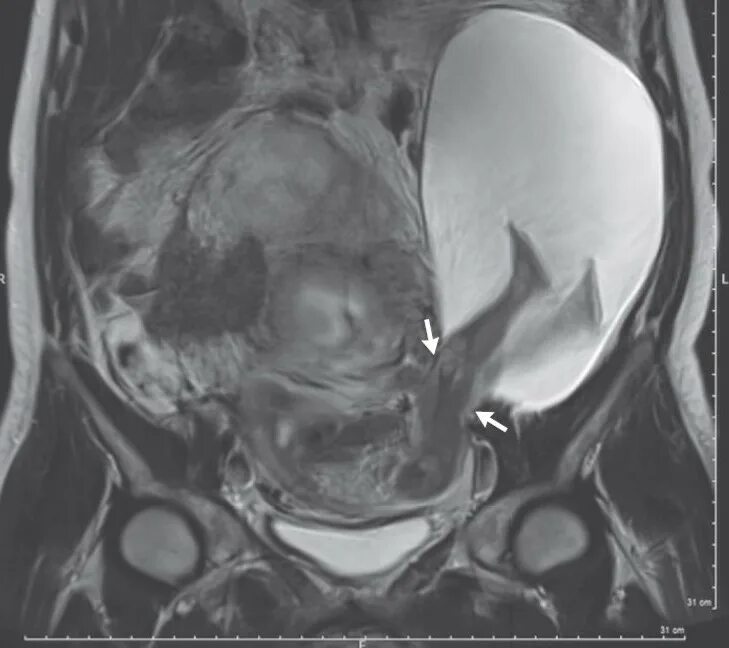
Разорвал матку