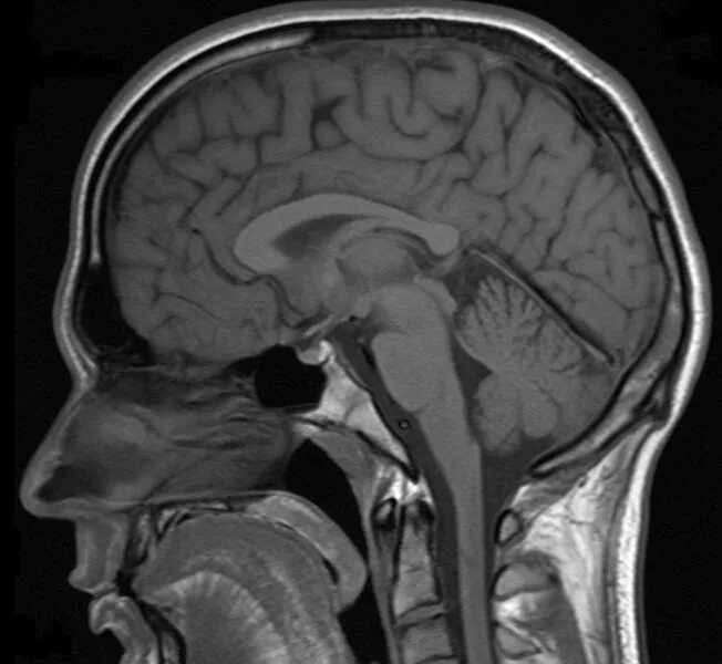
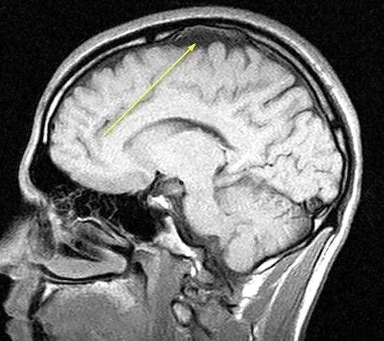
Расширение субарахноидального пространства головного