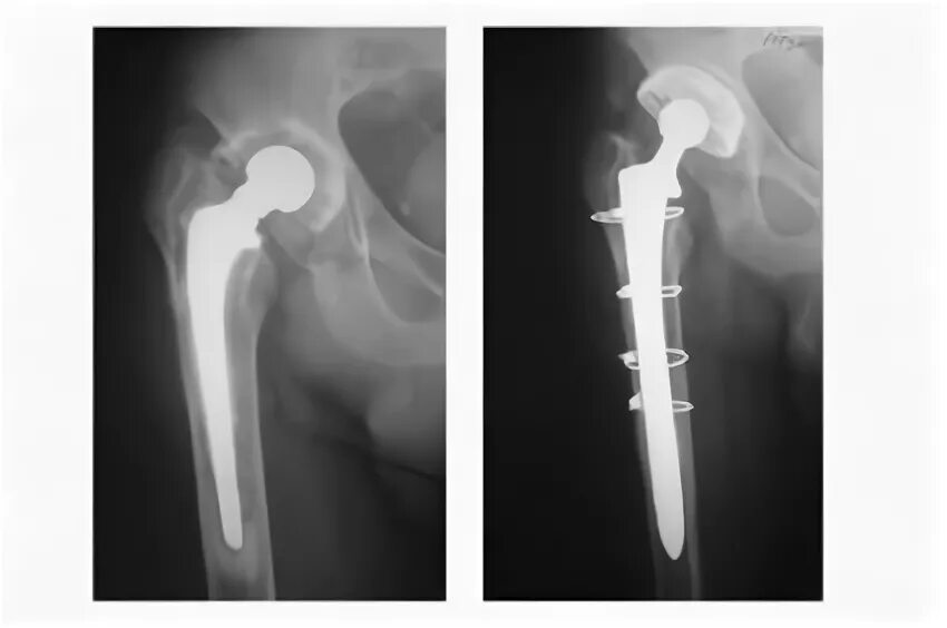
Расшатывание эндопротеза тазобедренного сустава