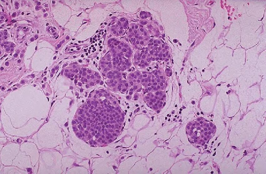
Рак солидного строения