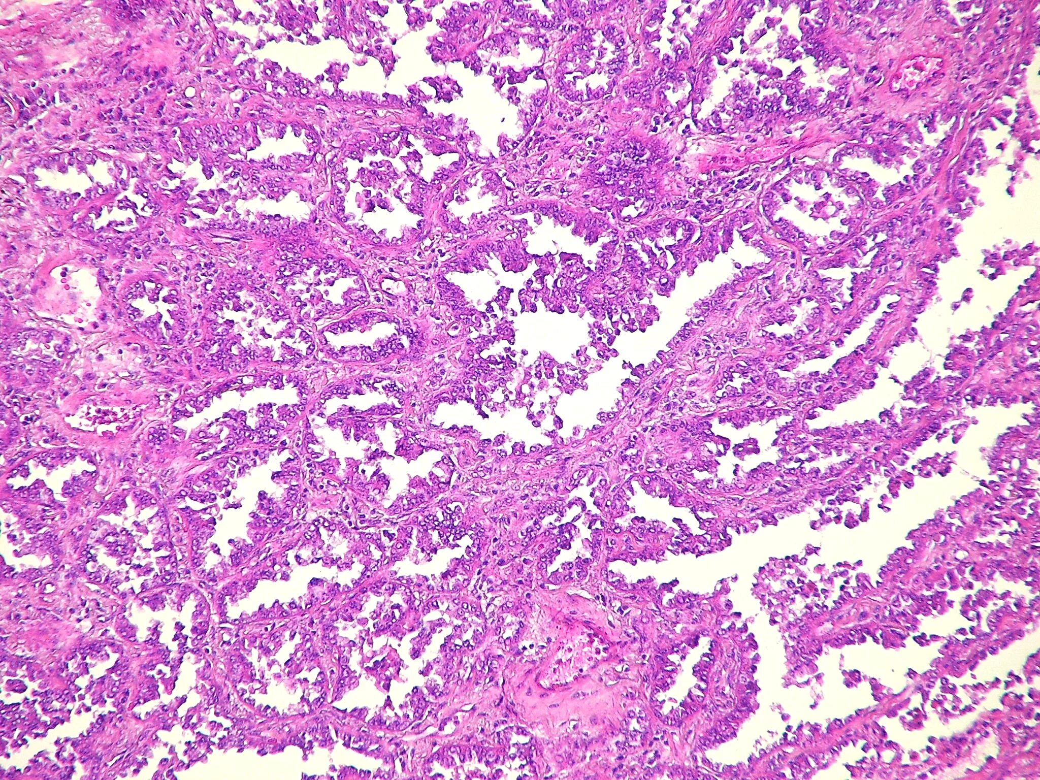
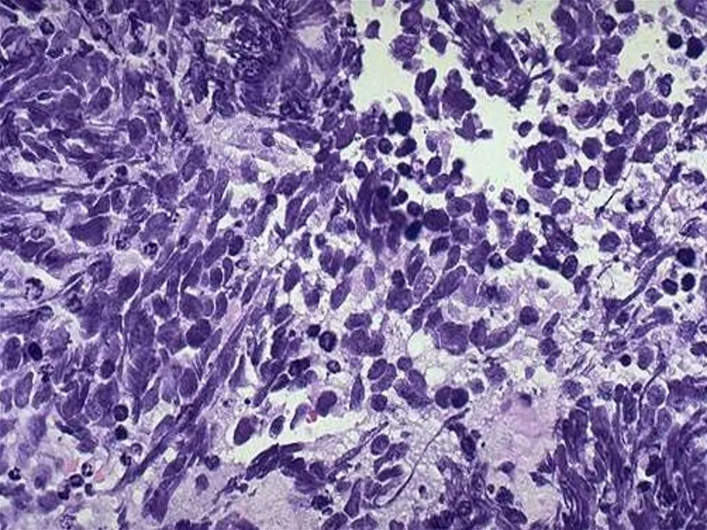
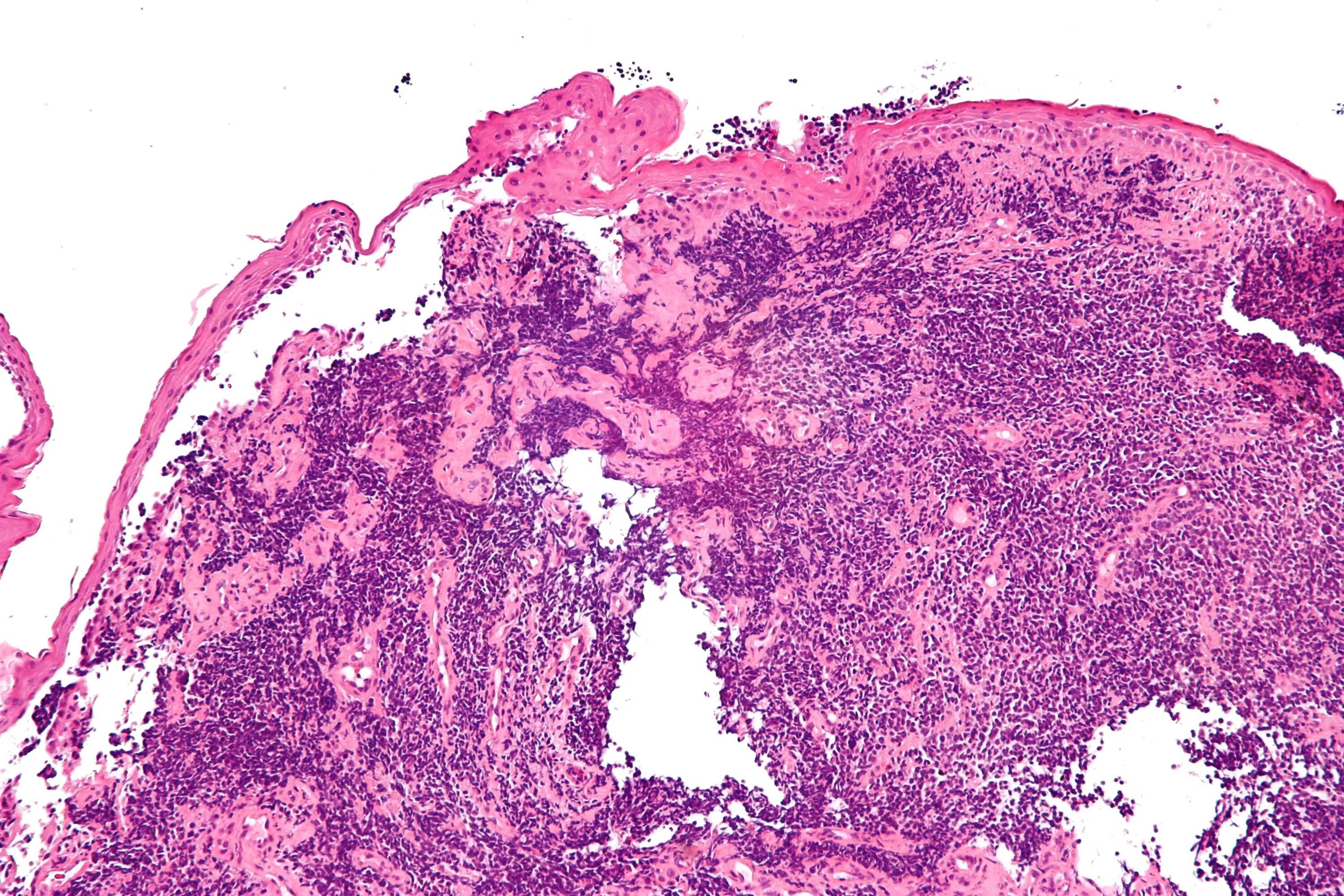
Рак легкого гистологические