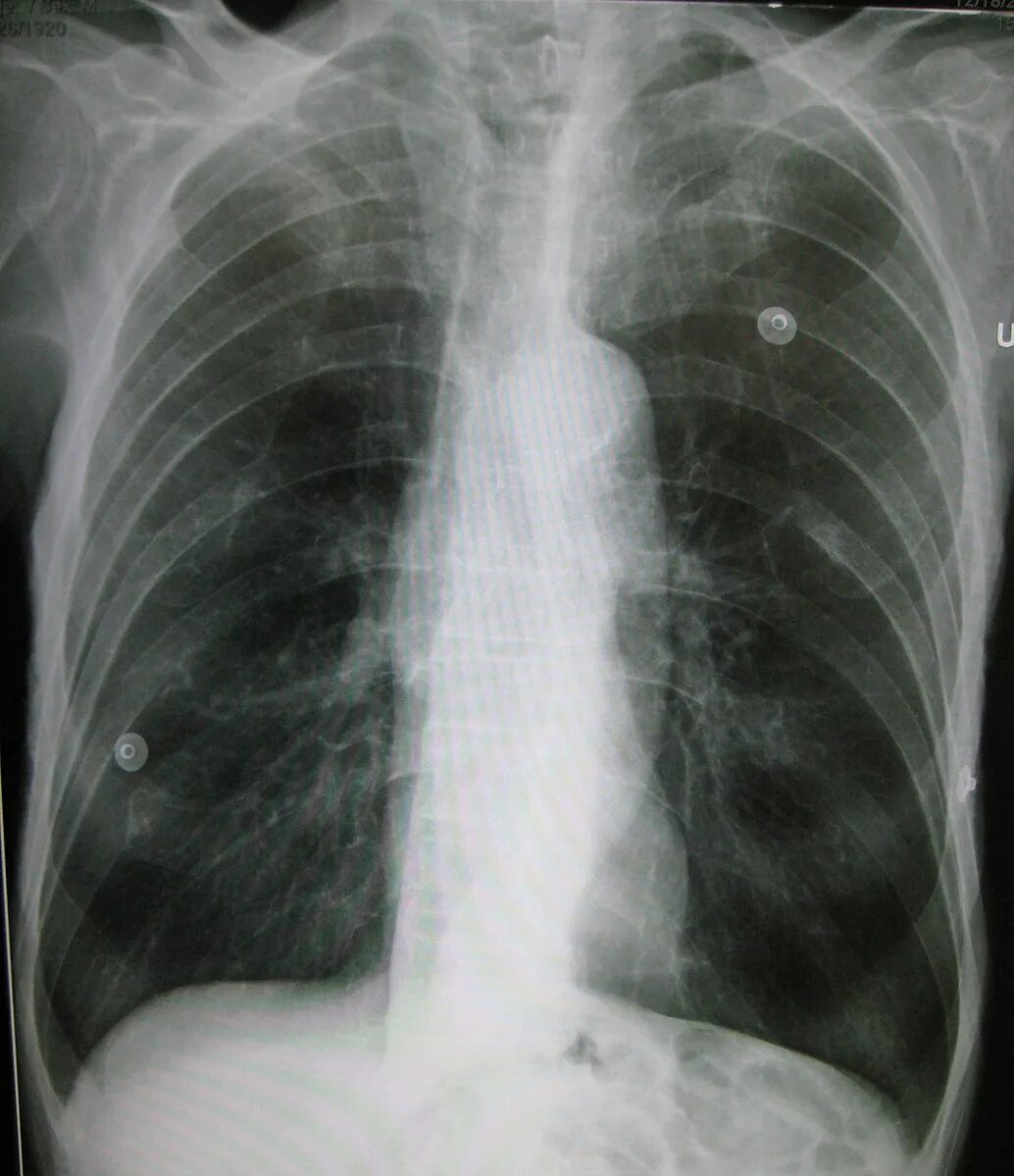
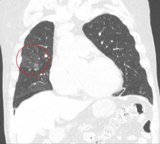
Пятно в легком что это может быть