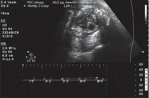
Пульс ребенка в утробе