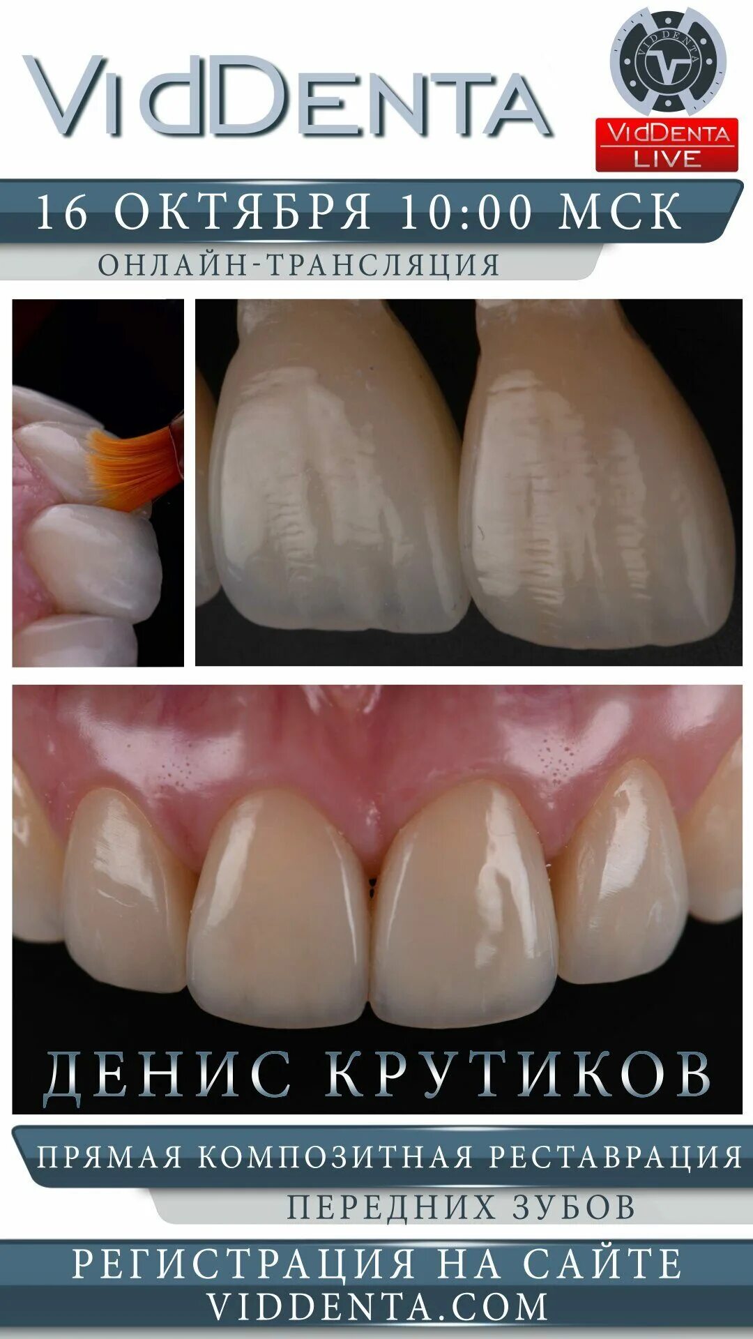
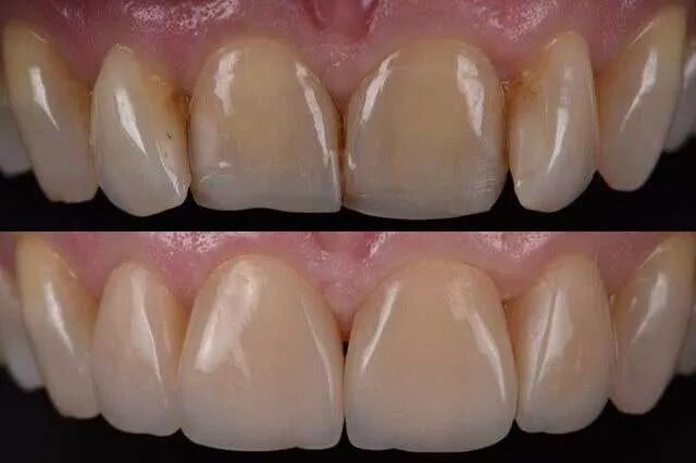
Прямые композитные реставрации