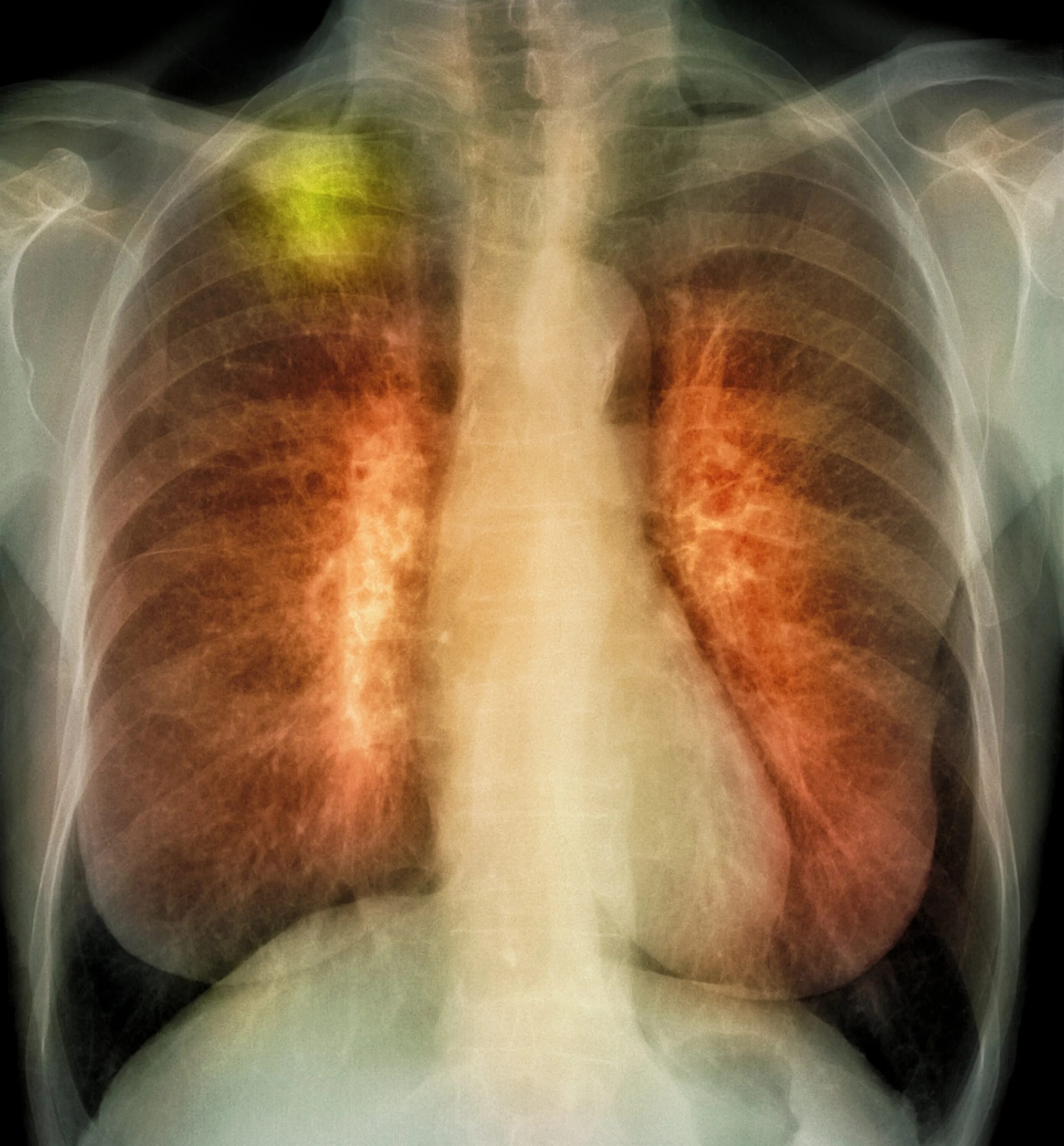
Прогрессирующий рак легких