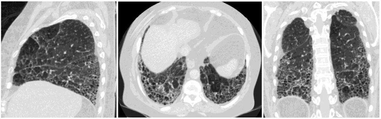
Прогрессирующий фиброз