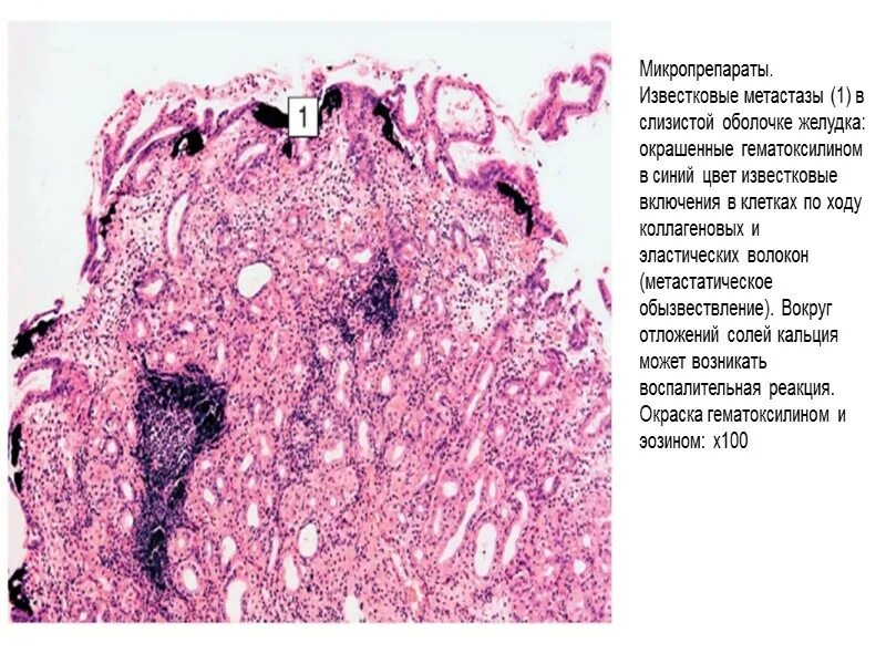
Препараты гистология рниму