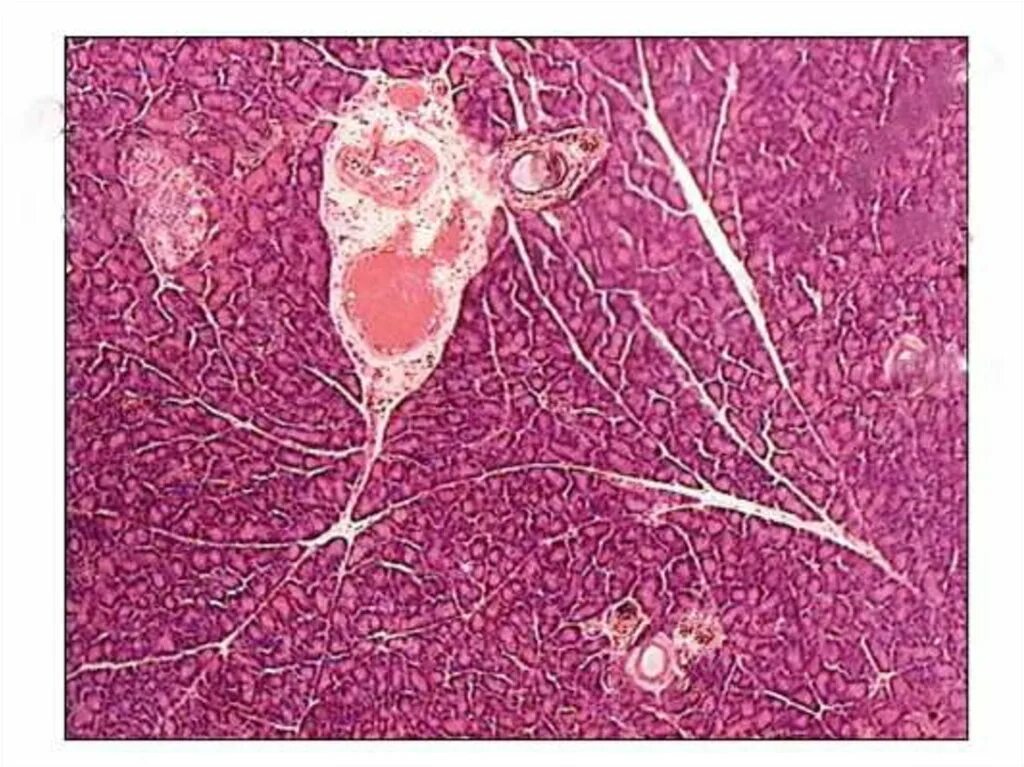
Препарат поджелудочной гистология