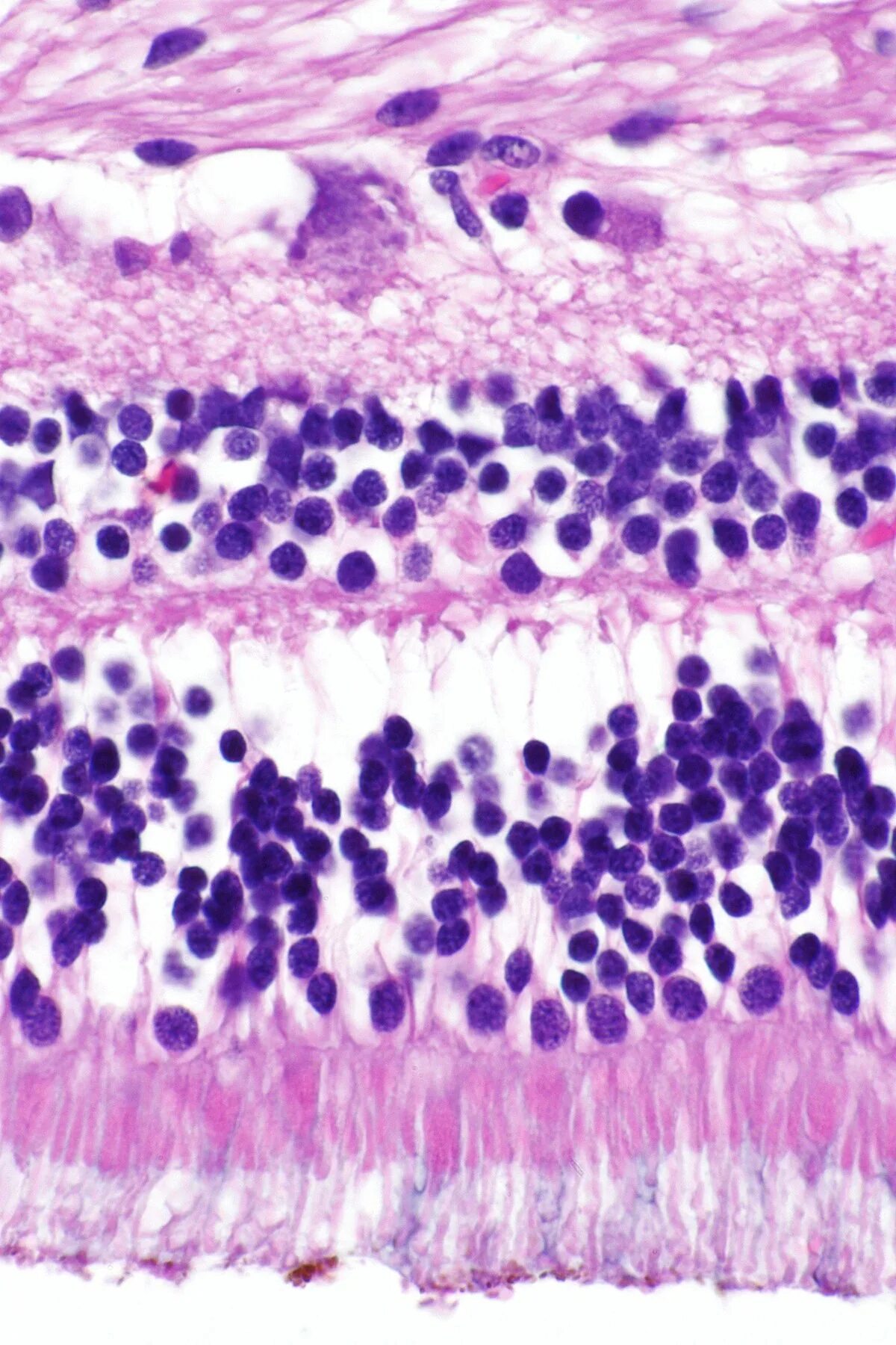
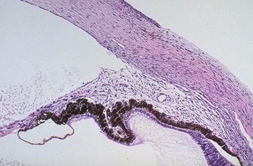
Препарат глаза гистология