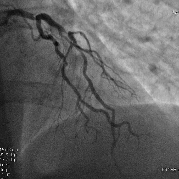
Повторный инфаркт после стентирования